肉眼では見えない細胞の中の微細な構造などを観察できる電子顕微鏡(以下、電顕)。幅広い研究分野で重要な役割を果たしていますが、観察には高度な技術が必要です。佐藤 繭子 技師は植物細胞を中心に観察技術開発や分析を行っています。
観察に成功したときの感動が原点
電顕とは電子線を使った顕微鏡のことで、理科の授業などでおなじみの光学顕微鏡よりもはるかに小さいものまで観察できる。約10~100万倍まで拡大できるので、分子や原子レベルの観察が可能だ。しかし、観察を成功させるには高度な技術や知識を要する。
佐藤 技師が電顕の魅力に出会ったのは、大学院で藻類の研究をしていたときだった。用いた透過電子顕微鏡は電子線を試料に当て、通り抜けた影を観察するもの。試料はそのままでは観察できないため、前処理が必要だ。まず、生きている状態に近い形態で保持できるよう固定・脱水し樹脂に埋める。さらに電子線が通るように、数十ナノメートル(nm、1nmは100万分の1mm)の薄さにスライスして試料の切片をつくる。
「生物を電顕を用いて真空下で観察するには、試料それぞれに特有の難しさがあります。例えば、細胞壁がある植物では試薬や樹脂が浸透しにくく、前処理が難しいのです。樹脂の種類や切る厚さを変えるなどの検討を重ねて、観察に成功したときには達成感がありました。肉眼では見えないミクロの世界を初めて観察できたときの感動がこの仕事の原点です」
チームで困難を解決
理研に着任して以来、ずっと電顕観察一筋だ。ユニットには理研内だけでなく、国内外の大学や研究機関からたくさんの試料の観察を依頼される。そのほとんどは、何かしらの工夫をしないと観察できない試料だ。
「扱う顕微鏡の種類や技術などスタッフにはそれぞれ得意分野があるので、みんなで話し合いながら役割分担や観察の方法を決めます。一人で観察する場合もありますが、チームで取り組む楽しさもありますね」
電顕は小さな領域を大きく拡大するため、一視野で観察できる範囲は狭まる。そこで、佐藤 技師は一度に広範囲を観察できる「広域電顕撮影法」や数百枚分の切片の観察像を3Dに再構築して細胞1個を丸ごと観察するための「連続切片解析法」といった解析技術を改良してきた。そのほかにも、生物の微細な構造を生存時に近い状態で凍結処理する「高圧凍結法」など、多くの技術の開発や改良を行ってきた。これらのたゆまぬ努力やチームワークが困難な観察の成功に結び付いている。
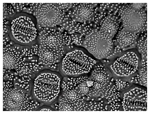
図1 スギナの茎表面の走査電子顕微鏡写真
走査電子顕微鏡は表面観察ができる。口を開いているような構造物は気孔。前処理が適切でないと、顕微鏡写真は実際の姿とは異なる写真になってしまう。
仲間を増やしたい
多くの研究に対する長年の貢献や技術開発が認められ、佐藤 技師は、高圧凍結法の生物試料への応用で「第24回(2023年度)日本顕微鏡学会奨励賞」を受賞、また佐藤 技師を中心としたユニットのメンバーは環境資源科学研究センターの2023年度CSRS奨励賞を受賞した。
電顕観察は多くの研究で使われ、重要性が知られているものの、電顕を専門とする研究者や技術者が減少していることを佐藤 技師は懸念している。技術やノウハウを伝えると共に仲間を増やしたいと、ユニットではワークショップや勉強会を定期的に開いている。今年も全国から集まった研究者や技術者がお互いの技術を学び合う貴重な会となった。「電顕に興味を持つ若い人が増えたらいいなと思っています」と佐藤 技師。次世代を育てることも積極的に進めている。
図2 透過電子顕微鏡の前で
(取材・構成:佐藤 成美/撮影:古末 拓也/制作協力:サイテック・コミュニケーションズ)
この記事の評価を5段階でご回答ください
