平成26年4月24日、石井俊輔上席研究員(石井分子遺伝学研究室)が責任著者をつとめる研究論文2報について15の疑義が研究所の通報窓口に通報されました。これに対して研究所は、科学研究上の不正行為の防止等に関する規程第10条に基づき予備調査を行いました。その結果、研究所は、いずれの疑義についても研究不正には当たらないと判断しました。
疑義が指摘された論文は次の2報
論文1
ATF-2 controls transcription of Maspin and GADD45α genes independently from p53 to suppress mammary tumors. Oncogene. 27, 1045-1054 (2008).
doi:10.1038/sj.onc.1210727
論文2
Differential sensitivity of v-Myb and c-Myb to Wnt-1-induced protein degradation. J Biol Chem. Vol. 279, no.43 44582-44589 (2004).
doi: 10.1074/jbc.M407831200
これらについて、責任著者である石井上席研究員及び、それぞれの論文の筆頭著者から提出されたオリジナルデータ等の資料確認等により予備調査を行いました。
論文1について
論文1に関する疑義の主なものはデータの使いまわしの指摘であった。
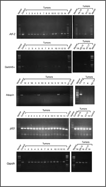
疑義が指摘された図4e及び図5dは、4つの遺伝子(Atf-2、Gadd45α、p53、Maspin)と1つの比較対照遺伝子(Gapdh)の発現量を比較したものである。この図の元となった実験は、試料の数が多いためそれぞれの遺伝子について2枚のゲルに分けて同時に行った電気泳動実験であり、図は、実験結果から必要なデータを選んで作成された。
疑義のうち、明らかにオリジナルデータと異なるデータを使用した箇所が2つ確認できた(下図①、②)。また、図の確認をする過程で、疑義として指摘されていない同じようなデータの誤りを1つ確認した(下図③)。
上図②の赤色の矢印で示した箇所は、実際には非常に薄いバンドであるところ、隣のN7-17の明確なバンドを誤って使用した。これについては、著者らは最初にp53のシグナルにより十分な量のRNAが存在することを確認した上で、Atf-2、Gadd45α、Gapdhの実験を行い、Gapdhの18のバンドが薄いことを認識した上で考察を進めたことを確認した。よってGapdhの18に真正でない結果を貼る理由が見当たらない。
また、図5dのAtf-2のN5-15、及び同図のGapdhのN7-17の取り違え(上図①、③)は、故意に真正でない結果を貼る理由が見当たらない。このように、同一の研究者が図の作成過程で3箇所において同じように結果を取り違えており、これは過失であったと考えるのが合理的であり、研究不正には当たらないと判断した。
なお、論文1の図4eと図5dについて、著者らは2014年4月16日に掲載誌に訂正を申し入れ、掲載誌はこれを同年4月23日に受理している(Oncogene(2014)vol.3, 3618掲載)。
論文2について
論文2に関する疑義は、複数の図で同じデータを使っていることや、グラフの不自然さを指摘したものであった。これについては、複数で同じデータを使ったことが確認できたが、結果は真正なものであった。また、グラフの不自然さの指摘については、オリジナルデータで、グラフに不自然な点はないことを確認した。
その他
論文1及び論文2に関する疑義の指摘のほかに、石井上席研究員が責任著者をつとめる10報の論文に匿名で疑義が通報された。これらの疑義は、科学研究上の不正行為の防止等に関する規程第10条に基づき顕名の通報に準じた取扱として予備調査を実施したところ、オリジナルデータの確認の結果、指摘された内容は結果の真正さを損なわせるものではないもの、或いは研究不正であるとする具体的かつ合理的な理由が示されていないものであった。よっていずれも研究不正には当たらないと判断した。
論文1及び論文2に関する個別の疑義及び検証結果の詳細については、以下をご覧ください。
論文1に関する疑義および検証結果
疑義が指摘された図4e及び図5dは、4つの因子(Atf-2、Gadd45α、p53、Maspin)と1つのコントロール(Gapdh)を比較した図である。この図の元となったデータは、試料の数が多いためそれぞれの因子について2枚のゲルに分けて同時に電気泳動をした実験結果であり(右図:オリジナルデータ)、論文の図を作成する際にこれらを一つの図にまとめたものであることが確認できた。
疑義①
図4eのAtf-2の16は、図5dのN5-15と同一のデータである可能性。パターンが指紋の様に酷似しており、データの使い回しの疑いがある。
検証結果①
図の作成を担当した者が図の作成の際に、本来使うべきデータの隣のデータを使ったことが確認できた。後述の(疑義⑫)でも述べる通り、この者は、図4e及び図5dの作成過程で、本来使うべきバンドの隣のレーンのバンドを使うという誤りを3回繰り返している。
指摘された図の加工が結果を良く見せる性質を持たず、また、オリジナルデータで真正な結果が確認できた。よって、過失であったと考えるのが合理的であり、研究不正には当たらないと判断した。
疑義②
図4eのGadd45αの16、18も、図5dの12、13と同一データである可能性。ドットのパターンが指紋の様に酷似しており、データの使い回しの疑いがある。
検証結果②
図5dの12、13をGadd45αの16、18にも使った可能性があると考えられた。いずれも、指摘された図の加工が結果を良く見せる性質を持たず、また、オリジナルデータで真正な結果が確認できた。よって、過失であったと考えるのが合理的であり、研究不正には当たらないと判断した。
疑義③
図4eと図5dのMarkerとControlはMaspin以外全て同じデータが二度使われている可能性がある。 同じゲルを使用したため共通のMarkerとControlを採用したと言うなら、Maspinのみ別のMarkerとControlを使用した理由が説明つかず、データを捏造した疑いがある。
検証結果③
2枚のゲルに同じマーカーを流して移動度を確認していることがオリジナルデータから確認できた。Maspinのみ別のマーカーとコントロールを使っているのは、Maspinのみ異なる順番で泳動したためであると理解できた。よって、結果の真正さを損なわせるものではなく、研究不正に当たらないと判断した。
疑義④
図5dのMaspinでは、11と13とN7-17は他のサンプルに見られるバンド下の非特異的な横縞模様が見えず、3も下の縞模様が他と異なり、全く別のデータを切り貼りして並べた可能性がある。
検証結果④
図のバックグラウンドに見られる縞模様や指紋のような模様は、オリジナルデータでは確認できず、画像処理過程において生じたノイズ等であると考えられた。
疑義⑤
図5dのMaspinでは、サンプル番号4、5、7、10、14、N5?15で指紋の様に同一の縞模様が見え、同じ画像データを6回も繰り返し使い回して貼付けた疑いがある。
検証結果⑤
図のバックグラウンドに見られる縞模様や指紋のような模様は、オリジナルデータでは確認できず、画像処理過程において生じたノイズ等であると考えられた。
疑義⑥
図5dのMaspinの画像がいくつかの箇所で切り貼りされ、著者の都合に合わせてデータをジグソーパズルの様に並べて作成した疑いがある。
検証結果⑥
サンプル数が多いため、2枚のゲルに分けて同時に行った電気泳動で得られた結果を、他の因子のサンプルの順番とあわせて、並べ替えたものであることが確認できた。
疑義⑦
図4eのMaspinでは、図5dに見られる縞模様(バンドがなくても縞模様はある) が全く見えず、同じサンプルのデータではない可能性があり、全く別のサンプルのデータを貼付けた疑いがある。
検証結果⑦
図のバックグラウンドに見られる縞模様や指紋のような模様は、オリジナルデータでは確認できず、画像処理過程において生じたノイズ等であると考えられた。
疑義⑧
図4eのp53の2は別のデータの貼付け、または画像処理がされている疑いがある。16と18はコントラストを上下で画像処理されている疑いがある。
検証結果⑧
二つのゲルに分けて電気泳動を行った結果を一つの図にしたものである。これらについては、加工は加えられているものの結果の真正さを損なわせるものではなく研究不正には当たらないと判断した。
疑義⑨
図4eのGapdhの2と図5dの3は、拡大すると特徴あるバンドの形が類似しており、同一データを使い回した疑いがある。
検証結果⑨
指摘されたバンドが同一であると判断できなかった。
疑義⑩
図4eのGapdhは、Markerから2までと16から18までの泳動パターンが異なる。同一ゲル解析データではなく切り貼りされている可能性がある。
検証結果⑩
二つのゲルに分けて電気泳動を行った結果を一つの図にしたものである。これらについては、加工は加えられているものの結果の真正さを損なわせるものではなく研究不正には当たらないと判断した。
疑義⑪
図4eのAtf-2 の2も図5dのAtf-2の3と同一で、捏造データの可能性がある。
検証結果⑪
指摘されたバンドが同一であると判断できなかった。
疑義⑫
論文1図4eは、石井上席研究員が掲載誌に訂正を申し入れ、受理された図である。この図のGapdhの18のバンドは、訂正前画像では、シグナルが明確であるが、訂正後の画像ではバンドが消失している。石井上席研究員がウェブサイトで公開したオリジナルデータでは、バンドが薄く写っている。
検証結果⑫
著者らは、GapdhのデータにおいてTumor-18のバンドが大変薄いので、左隣のN7-17のバンドを、一番右端のTumor-18のバンドと見誤ったのではないかと説明した。本実験においては、最初にRNA量が一定であることを確認するために、まずp53のRT-PCRを行い、全サンプルにおいて十分な量のRNAが存在していることを確かめた上で、Atf-2、Gadd45α、Gapdhの実験が行われたこと、著者らがGapdhの18のバンドのシグナルが低いことを認識していたことを実験当時の資料で確認した。著者らは、Gapdhの18のシグナルが何らかの理由で薄くなったが、p53のシグナルが十分存在するという事実を基に考察を進めたことがうかがわれ、Gapdhの18のシグナルが強く出現しなくても、論旨に影響はない。 また、図の作成を担当した者は、本来使うべきデータと隣のデータを取り違えたことを認めており、この者は疑義①の検証結果でも同様に、本来使うべきデータとその隣のデータを取り違えている。さらに、図5dのN7-17でも同じように隣のデータを取り違えている。同一の研究者が二つの図の作成過程で、複数個所で同じようなデータの貼り間違いをしており、敢えてこのようなデータの取り違えをする理由が見当たらず、これは過失であったとの説明に不自然な点は感じられない。Gapdhに真正でない図を貼ったことは過失であったと考えるのが合理的であり、研究不正には当たらないと判断した。
次に、石井上席研究員が訂正を申し出て受理された図では、オリジナルデータで確認できるGapdhの18の薄いバンドが消失していた。石井上席研究員は、この変化は元の写真画像をスキャナで取り込む際に生じうる程度の変化であると説明した。
これについては、石井上席研究員は掲載誌に図の訂正を申し入れる際にSupplementary Figureとして薄いもののバンドが発現しているオリジナルデータを掲載誌に提出していること、バンドが消失した図を見せることが結果を良く見せる性質を持たないことから、故意にバンドを消失させる理由が見あたらず、研究不正には当たらないと判断した。
論文2に関する疑義および検証結果
疑義①
図1Aのc-Mybのウェスタンブロッティング(WB)バンドの画像と相対量のデータを図3Bでも使用している疑いがある。図4Bのc-Mybの左図のWBバンド画像は、図1A、図3Bのものとは異なり、++の条件ではバンドが見えていないのに、右のグラフの相対量は図1A、図3Bと殆ど同じ(同一?)結果であり、エラーバーの幅もほぼ一致していて不自然さを感じる。v-MybのWBバンドの相対的な濃さは、図1A(Wnt-1-と++)と図3B(Wnt-1-と+)で若干異なって見えているにもかかわらず、相対量のグラフでは両方の実験結果がエラーバーの幅も含めてほぼ一致しており、不自然さを感じる。
検証結果①
図1Aの-と++を、図3Bでは-と+の図として表していること、グラフ作成に使われた数値は、3つの図の棒グラフで共通していること、図4bの棒グラフは図1Aの棒グラフと同じであることはオリジナルデータで確認できた(下図)。図で示された結果は真正であり、研究不正には当たらないと判断した。
疑義②
図5Aでレーンの切り貼りが見える。
検証結果②
図5Aは同一ゲル上の必要なデータを加工したものであることがオリジナルデータで確認できた(右図)。これらについては、加工は加えられているものの結果の真正さを損なわせるものではなく、研究不正には当たらないと判断した。
疑義③
論文2の図4Bは、c-Mybの++バンドが見えないが、オリジナルデータでは薄く現れている。
検証結果③
石井上席研究員は、論文では、短い露光時間で得たフィルムを使用したか、或いは、論文1の疑義⑫の訂正後の図と同様、この変化は元のX線フィルム画像をスキャナで取り込む際に生じうる程度の変化であると説明した。そのバンドが非常に薄いか、或いはないことは併記されたグラフでも読み取れた。これについては、バンドが消失した図を見せることが結果を良く見せる性質を持たず、また故意にバンドを消失させる理由が見あたらないことから、研究不正には当たらないと判断した。
