2011年7月4日
独立行政法人 理化学研究所
アルツハイマー病の重要な原因物質としてAβ43が浮上
-見過ごされていたアミロイドβ亜種が強力な病態促進因子-
ポイント
- Aβ43は、他のAβより強い神経毒性・凝集性を示し、アルツハイマー病の進行を加速
 - Aβ43の存在量・存在比率が高いほどアルツハイマー病の発症年齢が早い
 - Aβ43は、アルツハイマー病の新たな治療法や診断マーカーの有力な候補に
 
要旨
独立行政法人理化学研究所(野依良治理事長)は、アルツハイマー病の原因物質と考えられているアミロイドβペプチド(Aβ)※1のうち、これまで見過ごされていた亜種「Aβ43」が、アルツハイマー病の強力な病態促進因子であることを明らかにしました。これは、理研脳科学総合研究センター(利根川進センター長)神経蛋白制御研究チームの西道隆臣チームリーダー、斉藤貴志研究員らと、同志社大学の井原康夫教授、舟本聡准教授、滋賀医科大学の西村正樹教授、アントワープ(Antwerp)大学のクリスティーン・ブロエックホーベン(Chrstine V. Broeckhoven)教授らとの共同研究による成果です。
アルツハイマー病は、老人性認知症の中で患者が最も多い疾患で、脳内にAβが過剰に蓄積することが原因で発症すると考えられています。Aβは、γセクレターゼ※2の作用により産生される際に、アミノ酸の長さが異なるいくつかのAβ種が産生されます。これまでは、40個のアミノ酸残基からなるAβ40と42個のアミノ酸残基からなるAβ42がアルツハイマー病の発症に重要だと考えられ、他のAβ種の存在は見過ごされてきました。
今回研究グループは、Aβ亜種の1つで、43個のアミノ酸残基からなるAβ43に着目し、Aβ43を高感度で特異的に検出するELISAシステム※3を構築して解析を進めました。その結果、Aβ43は、Aβ42よりも強力な神経毒性や凝集性を発揮すること、Aβ40よりも高頻度で存在していることが明らかになりました。また、家族性アルツハイマー病患者の遺伝子変異の解析から、Aβ43の存在量や存在比が高いほど、アルツハイマー病を早期に発症していることも明らかとなりました。さらに、Aβ40やAβ42が生まれながらに一定の割合で脳内産生されているのに対し、Aβ43は加齢に伴って脳内に出現してくることも明らかとなりました。これらの結果から、Aβ43は、アルツハイマー病の発症に極めて重要な促進因子であるとともに、加齢性変化を示すことから、アルツハイマー病に対する新たな治療法や診断法の開発につながることが期待されます。
本研究は、科学研究費補助金、武田科学振興財団助成金、及び文科省委託事業「分子イメージング研究戦略推進プログラム」の助成を受けて行われたもので、科学雑誌『Nature Neuroscience』オンライン版(7月3日付け:日本時間7月4日)に掲載されます。
背景
アルツハイマー病は、老人性認知症の中で患者が最も多い疾患で、脳内に老人斑(アミロイド斑)といわれる過剰なタンパク質の「シミ」が沈着することが病理学的な特徴の1つです。このアミロイド斑の主成分が、アミロイドβペプチド(Aβ)であることが明らかとなり、Aβの過剰な蓄積がアルツハイマー病の発症の原因と考えられるようになりました。実際、Aβの産生を促進する遺伝子変異が、家族性アルツハイマー病を引き起こしています。このため、アルツハイマー病の治療には、Aβを脳内から除去することが重要だと考えられてきました。このAβには、アミノ酸の長さが異なるAβ40とAβ42の存在が古くから知られており、これまでこの2種類のAβを中心にアルツハイマー病研究が進められてきました。しかし、Aβ40やAβ42だけを標的とした治療では、アルツハイマー病の進行を食い止めることが難しいのが実情です。2005年頃の研究から、Aβ40やAβ42以外にもアミノ酸の長さが異なるAβ亜種が存在することが徐々に知られるようになり、従来の研究を見直す機運が高まっていました。
研究手法と成果
(1)アルツハイマー病の発症とAβ43の関係
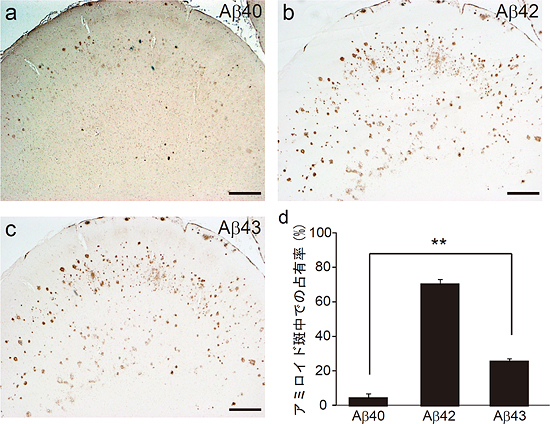
今回研究グループは、孤発性(非遺伝性)アルツハイマー病患者4人のAβ種の存在率を免疫組織化学的に解析したところ、アルツハイマー病患者の脳内で、Aβ43がAβ40よりも高頻度で存在していることを発見しました。(図1)。画像解析による定量の結果、アルツハイマー病患者の脳内では、Aβ42が70%、Aβ43が28%と両者でそのほとんどを占めており、これまでAβ43が見過ごされていたことが分かりました(図1)。
そこで、アルツハイマー病発症に対するAβ43の役割を明らかにするため、既存の抗体からAβ43に特異的な抗体を選定し(図2、左)、Aβ43を特異的に検出するELISAシステムを構築しました(図2、右)。このELISAシステムを用いて、野生型マウスとアルツハイマー病モデルマウスとして既に知られているアミロイドβ前駆体タンパク(APP)トランスジェニックマウス※4それぞれの脳内のAβ43濃度の定量を行いました。その結果、野生型マウスでも、APPトランスジェニックマウスでも、加齢に伴って脳内のAβ43の濃度が増加しました。(図3)。このことから、ヒトやマウスの種を問わず、生まれながらに一定量産生されているAβ40やAβ42とは異なり、Aβ43は加齢性変化を示すAβ亜種であることが分かりました。また、APPトランスジェニックマウス脳内でのAβ43の濃度の増加は、その脳内でアミロイド斑が出現する前から増加し始めていました。これは、Aβ43の増加がアミロイド斑を形成する引き金になっている可能性を示しています。
(2)Aβ43の神経毒性と凝集性
神経細胞に対する3つのAβ種の毒性を比較しました。マウス胎児から調製した初代培養神経細胞に対し、それぞれ1~10μMの濃度で各Aβ種を添加した結果、Aβ42とAβ43が濃度の増加に伴い神経細胞の生存率が顕著に低下し、傷害率も上昇しました。Aβ43がAβ42より強い毒性を示しましたが、図1のようにAβ43の量比はAβ42よりも少ないため、脳内ではAβ42、Aβ43が同様に強い神経毒性を発揮していると考えられます。このことは、これまでAβ42だけが神経毒性の本体と考えられてきましたが、Aβ43も神経毒性の本体である可能性を示しています(図4)。
次に、各Aβ種の凝集性の比較をチオフラビン※5Tの取り込みを指標に行った結果、Aβ43が最も強い凝集性を示しました(図5)。さらに、Aβ43は、他の2種に比べて少量でAβの凝集を促進する因子であることが明らかとなりました。この凝集性の強さは、アルツハイマー病患者の脳切片の解析でも顕著に示されていました(図6)。アルツハイマー病患者のアミロイド斑を免疫組織化学的手法により可視化したところ、アミロイド斑の中心部分(黄色で示される部位)にAβ43が凝集していることが明らかとなりました(図6、c)。また、タンパク質の強力な凝集部位と特異的に結合するチオフラビンSの染色像とも重なっていました(図6、d)。つまり、Aβ43の凝集が引き金となってアミロイド斑が、患者の脳内で形成されていることを示しています。
(3)Aβ43とアルツハイマー病の発症年齢との関係
アルツハイマー病においてAβ43の量が何を規定しているのかを調べるために、家族性アルツハイマー病の原因遺伝子の1つであるプレセニリン1のさまざまな変異を培養細胞に遺伝子導入し、Aβ43の産生能を解析しました。その結果、アルツハイマー病を早期に発症する家系の変異(I143TやG384Aなど)ほどAβ43の産生能が高いことが明らかになり、発症年齢とAβ43の存在量や存在比に高い相関関係が認められました(図7)。
今後の期待
今回、これまで見過ごされていたAβ43が、アルツハイマー病の強力な病態促進因子であることが明らかとなりました。また、Aβ43が、Aβ40やAβ42よりも強い神経毒性および凝集性を示し、アルツハイマー病の病理形成の引き金になっていることが判明しました。これまでアルツハイマー病の有力候補だと期待されていたAβ40やAβ42に対する抗体を用いたAβワクチン法※6が多くの臨床実験で試みられ、ことごとく失敗してきました。その理由として、Aβ43の毒性を除去しきれていなかった可能性があり、Aβ40とAβ42を中心とした研究を見直し、Aβ43も対象にしたAβワクチン法を研究していく必要があるかもしれません。Aβの産生抑制を目的とした薬剤開発に関しても、Aβ40とAβ42だけでなく、Aβ43を含めた指標作りが必要となるでしょう。今後、毒性本体と考えられていたAβ42だけでなく、Aβ43も含めて標的とすることで、アルツハイマー病の根本治療や予防法の開発へ発展していくと期待されます。
さらに今回、Aβ43の脳内濃度の増加が発症年齢を規定している可能性も示しました。Aβ43が加齢に伴い脳内で出現してくることからも、アルツハイマー病患者の大部分(98%以上)を占める孤発性(非遺伝性)アルツハイマー病の発症と、Aβ43の脳内出現との間にも相関関係が認められるかもしれません。アルツハイマー病に直接関連した因子で、加齢性変化を示す因子はほとんど発見されておらず、Aβ43が早期診断マーカーや老化の指標となる可能性があります。このため、Aβ43を指標としたアルツハイマー病の早期診断法の確立が期待されます。
発表者
 理化学研究所 
 脳科学総合研究センター 疾患メカニズムコア 神経蛋白制御研究チーム 
 チームリーダー 西道 隆臣(さいどう たかおみ)
 研究員 斉藤 貴志(さいとう たかし)
 Tel: 048-467-9715 / Fax: 048-467-9716 
お問い合わせ先
脳科学研究推進部 
 Tel: 048-467-9757 / Fax: 048-462-4914
報道担当
理化学研究所 広報室 報道担当 
 Tel: 048-467-9272 / Fax: 048-462-4715
補足説明
- 1.アミロイドβペプチド(Aβ)
アミロイドβ前駆体タンパク質からプロテアーゼにより切断されて産生される生理的ペプチド。アルツハイマー病の病理である老人斑(アミロイド斑)の構成成分として発見されたことから、この過剰な蓄積がアルツハイマー病発症の引き金と考えられている。これまでは、40個のアミノ酸残基からなるAβ40と42個のアミノ酸残基からなるAβ42の2種類のAβに関する解析が中心になされてきたが、最近、アミノ酸数の異なるAβ亜種の存在が注目されている。 - 2.γセクレターゼ
アミロイドβ前駆体タンパク質からAβを産生する際に最終段階で作用するペプチダーゼで、家族性アルツハイマー病の原因遺伝子でもあるプレセニリン1及びプレセニリン2を含む高分子複合体を形成している。これまでは、プレセニリンの家族性遺伝子変異によるAβ42の存在量や存在比率の増加がアルツハイマー病の発症に関与していると考えられてきた。 - 3.ELISAシステム
ELISA(Enzyme-linked immune sorbent assay)システムの略。試料中に含まれる抗体もしくはその抗原(本研究ではAβ43)の濃度を特異的に検出・定量する際に用いられる生化学的測定法。 - 4.APPトランスジェニックマウス
アミロイドβ前駆体タンパク(APP)遺伝子を染色体上の不特定のどこかに挿入させ、APPをマウスの中で過剰に発現させることで、結果的にAβ量をマウス内で過剰発現させるマウス - 5.チオフラビン
タンパク質の凝集体はβシート構造を形成している。チオフラビン化合物は、βシート構造と特異的に結合する性質を有している。チオフラビンTとチオフラビンSの2種類が知られている。前者は生化学的解析に、後者は組織染色に適している。 - 6.Aβワクチン法
生体にあらかじめAβに対する抗体を受動的もしくは能動的に免疫することで、その脳内のAβ量を減らすことを目的とした方法。これまでに、神経毒性・凝集性が高いと考えられていたAβ40とAβ42に対するAβワクチン法などが試されてきたが、ほとんどの試みが臨床試験段階で失敗している。 
 
 図1 アルツハイマー病患者の脳切片における各Aβ43の存在比率
アルツハイマー病患者の脳内では、Aβ42が70%、Aβ43が28%存在した。
 
 図2 Aβ43に特異的な抗体の選定とELISAシステム
- (左) 各種Aβを様々な量で電気泳動を行いウェスタンブロット法*で抗体の特異性を確認した。その結果、選定した特異的抗体はAβ43と特異的に結合した。
 - (右) この抗体を用いてELISAシステムを構築した結果、Aβ40やAβ42には全く反応せず、Aβ43のみを特異的に検出した。
 
*電気泳動により分離したタンパク質に対する、特異的な抗体を利用することで、そのタンパク質の存在を検出する方法。
 
 図3 マウス脳内におけるAβ43量の加齢依存的増加
- 
(左)野生型マウス
若年齢マウス(3カ月後)の脳内では検出しなかったAβ43が、老年齢マウス(24カ月後)の脳内では有意に検出された。 - 
(右)APPトランスジェニックマウス
加齢に伴って脳内のAβ43の濃度が増加した。この増加は、アミロイド斑が出現するのに先行して始まっており、Aβ43の増加が引き金となりアミロイド斑が形成されたと考えられる。 
 
 図4 神経細胞に対するAβ43毒性の比較
Aβ濃度の増加に伴い、Aβ43の神経細胞の生存率が顕著に減少し、傷害率が顕著に増加することから、Aβ43が最も強い毒性を示す。
 
 図5 各Aβ種の凝集性とAβ43の凝集促進作用
- (左) 20μMの濃度の各Aβ種に対するチオフラビンTの取り込みを解析した。蛍光強度が高いほど強い凝集性を示し、Aβ43が最も強い凝集性を示した。
 - (右) Aβ40とAβ42がそれぞれ20μM、2μM存在している溶液中に、0.2μMの濃度の各Aβ種を添加し、チオフラビンTの取り込み強度を測定した。その結果、Aβ43を添加した時に顕著な凝集の促進が認められた。
 
 
 図6 アルツハイマー病患者のアミロイド斑におけるAβ43の局在
Aβ全体(a)とAβ43(b)を重ね合わせる(c)とアミロイド斑の中心にAβ43が局在していた。タンパク質の強力な凝集部位と特異的に結合するチオフラビンSの染色像とが重なっていた(d)。
 
 図7 家族性アルツハイマー病の発症年齢とAβ43の相関関係
家族性アルツハイマー病の発症年齢とAβ43の存在量に高い相関関係が見られた。
