2013年5月22日
理化学研究所
環状mRNAを用いてエンドレスなタンパク質合成に成功
-ローリングサークルタンパク質合成手法を開発-
ポイント
- 終止コドンの無い環状mRNAを考案、リボゾームが永久的にタンパク質合成
 - タンパク質合成効率は、直鎖状mRNAに比べて200倍アップ
 - 新しい長鎖タンパク質合成法として期待
 
要旨
理化学研究所(野依良治理事長)は、大腸菌が通常持っているタンパク質合成過程において、タンパク質合成終了の目印となる終止コドン[1]を除いた環状のメッセンジャーRNA(mRNA)[2]を鋳型に用いてエンドレスにタンパク質合成反応を起こすことに成功しました。通常の直鎖状RNAを鋳型とするタンパク質合成反応に比べ、反応の効率は200倍に増大しました。これは、理研伊藤ナノ医工学研究室 阿部洋専任研究員、阿部奈保子技術員、伊藤嘉浩主任研究員、佐甲細胞情報研究室 廣島通夫研究員(理研生命システム研究センター 上級研究員)、佐甲靖志主任研究員、北海道大学薬学部 丸山豪斗大学院生(ジュニアリサーチアソシエイト)、松田彰教授らによる研究グループの成果です。
大腸菌のタンパク質合成反応は、通常直鎖状のmRNAを鋳型として起きます。まず、リボソーム[3]がmRNAの先頭に結合し、開始コドン[1]からタンパク質合成が始まります。そして、終止コドンに到達してタンパク質合成が終わります。リボソームが終止コドンに達すると、リボソームはmRNAから離れ、次の新しい反応サイクルに向かうため同じあるいは別のmRNAの先頭に再び結合します。このリボソームの解離から次の結合までのサイクルがタンパク質合成において最も時間のかかる過程です。
研究グループは、高効率に目的のタンパク質を合成する手法を開発するために、この最も時間のかかる過程に注目しました。もし、終止コドンを除いた環状mRNAで合成ができれば、リボソームがいったん結合するとエンドレスで合成可能になります。今回、実際に終止コドンを除いた環状mRNAを作製して、大腸菌がもつタンパク質合成過程を用いて評価しました。その結果、直鎖状mRNAと比較して、環状mRNAを用いたタンパク質合成反応は単位時間当たり200倍ほど高効率で進行することを確認しました。本手法は、長鎖タンパク質のコラーゲンやシルクなどを人工合成する手法として多様な応用が期待できます。
本研究成果は、ドイツの化学会誌『Angewandte Chemie International Edition』に近くオンライン掲載されます。
背景
生物の体を構成しているタンパク質は、細胞核内にあるDNAの一部の遺伝情報をもとに合成されています。その合成過程は、DNAがmRNAに変換され、続いてmRNAの一部の配列がアミノ酸に変換されて複数のアミノ酸が連なって1つのタンパク質が完成します。mRNAからタンパク質を合成する時には、リボゾームと呼ばれる複合体が働き、mRNAの連続した3つの塩基を1つのアミノ酸に置き換えます。この連続した3つの塩基をコドンと呼び、合成を開始するコドンを「開始コドン」、終了を「終止コドン」と呼びます。
分子生物学的研究において、DNAはPCR技術[4]で細胞外でも簡単に合成できます。しかし、タンパク質を人工的に合成することは技術的に制限があるため、どんなタンパク質でも簡便にかつ多量に合成できる手法の開発が望まれていました。
近年、細胞核を持たない原始的な原核生物でのタンパク質合成過程の研究が進み、合成に関わるさまざまな因子の役割が解明されました。その結果、試験管内で合成に関わる酵素を入れて効率的にタンパク質合成する「無細胞系」と呼ばれる手法が確立しています注1。
原核生物の1つである大腸菌がもつタンパク質合成過程では、直鎖状のmRNAを鋳型として合成が行われます。大まかに(1)開始、(2)伸長、(3)終止の過程があります(図1)。まず、リボソームが直鎖状のmRNAの先頭に存在するシャイン・ダルガノ配列(SD配列)[5]に結合し、開始コドンからタンパク質合成を開始します。その後、アミノ酸が連なってできるタンパク質の伸長反応が起こり、リボソームが終止コドンに到達し、mRNAから解離します。タンパク質合成では、この一連の過程が繰り返されます。タンパク質を多量に生産するためには、リボソームがmRNA上で端から端まで結合と解離を繰り返す必要がありますが、反応過程において、この解離から次の結合までが最も遅い過程(律速段階)になります。もし、この過程をスキップできればタンパク質合成の効率が飛躍的に増大することが予想されていました。
注1)Shimizu Y, Inoue A, Tomari Y, Suzuki T, Yokogawa T, Nishikawa K, Ueda T. Nature Biotech. 2001, 751
研究手法と成果
研究グループは、大腸菌の直鎖状mRNA鋳型上から終止コドンを除き、開始コドンを残した環状RNAを考案しました(図2)。この環状mRNAを用いてタンパク質合成反応を行った場合、リボソームが一度環状mRNAに結合してタンパク質合成を開始すると、終止コドンがないので原理的にはエンドレスにタンパク質合成を続けることになります。また、直鎖状mRNAを鋳型としたタンパク質合成と比較して、リボソームが解離して結合するまでの律速段階がないので、効率よくタンパク質合成ができます。
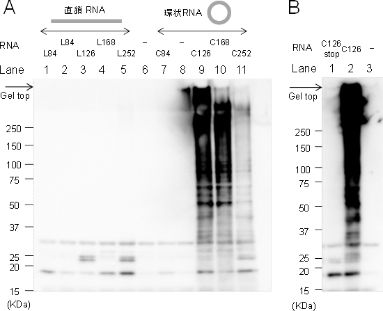
そこで、大腸菌の中からタンパク質合成過程を取り出した無細胞系タンパク質合成システムを使って、以下のような手法で実際に環状mRNAや直鎖状mRNAのタンパク質合成の効率を評価しました。まず、mRNAの先頭に開始コドンを有し、8つのアミノ酸から構成されるFLAGタンパク質[6]を繰り返しコードし、終止コドンが存在しないmRNA配列を設計しました(図3)。次に、FLAGタンパク質の繰り返し数を変えることで、塩基配列の長さが84塩基、126塩基、168塩基、252塩基の、それぞれ直鎖状と環状のmRNAを作製しました(図4)。これらを用いてタンパク質合成反応を行い、ポリアクリルアミドゲル電気泳動[7]で解析しました(図5 A)。直鎖状mRNAでは、それぞれの長さに応じて少量のペプチド断片が観察されました。それに対し、環状mRNAを用いた場合、84塩基では環のサイズが小さすぎて長鎖のペプチドは観測されませんでした。一方、126塩基、168塩基では長鎖でかつ大量のペプチドが観測され、FLAGタンパク質が連続的に合成され連なっていることが推測できます。ただ、252塩基では若干ペプチドの量が減少しました。これはmRNAの高次構造による影響であると示唆されます。続いて、終止コドンありと終止コドンなしの126塩基の環状mRNAを用いてタンパク質合成反応を解析しました(図5 B)。その結果、終止コドンありの環状mRNAは短いペプチド断片を産出するのに対して、終止コドンがない環状mRNAは長鎖のタンパク質を大量に産出しました。
今後の期待
mRNA配列から終止コドンを除き、3の倍数の塩基数を有する環状mRNAを作ると、高効率で長鎖のタンパク質を合成できることが明らかになりました。本手法を用いて特定のタンパク質を大量調製することが期待できます。例えば、長鎖のタンパク質であるコラーゲンや、シルク、クモの糸などの人工合成に応用できる可能性があります。また、リピートタンパク質を作って切断することで単量体タンパク質を効率よく作ることができるようになります。今後、さまざまなタンパク質材料合成への応用が期待できます。
原論文情報
- Naoko Abe, Michio Hiroshima, Hideto Maruyama, Yuko Nakashima, Yukiko Nakano, Akira Matsuda, Yasushi Sako, Yoshihiro Ito and Hiroshi Abe “Rolling circle amplification in a prokaryotic translation system using small circular RNA”.Angewandte Chemie International Edition, 2013
 
発表者
 理化学研究所 
 主任研究員研究室 伊藤ナノ医工学研究室
 専任研究員 阿部 洋 (あべ ひろし) 
報道担当
理化学研究所 広報室 報道担当 
 Tel: 048-467-9272 / Fax: 048-462-4715
補足説明
- 1.終止コドン、開始コドン
遺伝暗号は3塩基の配列を一組としたコドンによってアミノ酸を指定する。64種類あるコドンのうち、開始コドンと呼ばれるAUGからmRNAの翻訳が開始され、終止コドンと呼ばれるUAG、UGA、UAAによって翻訳が停止する。開始コドン(AUG)はアミノ酸の1つであるメチオニンをコードするが、終止コドン(UAG、UGA、UAA)はアミノ酸をコードしていない。 - 2.環状のメッセンジャーRNA(mRNA)
直鎖RNAの末端同士が共有結合し環状構造となったmRNA。近年、生体内にも環状mRNAが存在していることが明らかになり、その機能や生成メカニズムに注目が集まっている。 - 3.リボソーム
mRNA上を移動し、mRNAの配列情報を読み取ってタンパク質を合成する場。タンパク質(リボソームタンパク質)とRNA(リボソームRNA)から構成されている。 - 4.PCR技術
ポリメラーゼ連鎖反応(polymerase chain reaction, PCR)。ごく少量のDNAを複製する手法。目的のDNAと反応に必要な酵素や分子を混ぜた溶液を高温にして2本鎖DNAを1本鎖に変性して、それを冷却していくと相補的な塩基が対となり相補鎖ができる。この溶液の高温、低温を繰り返すだけでDNA合成を繰り返し、DNAを増幅する技術である。 - 5.シャイン・ダルガノ配列(SD配列)
原核生物のmRNAにおいて、開始コドンの上流に存在するプリン塩基(アデニン・グアニン)に富んだ3-9塩基程の配列である。リボソームはリボソームRNA中の相補的な配列(アンチ・シャイン・ダルガノ配列)を介してmRNAと結合する。 - 6.FLAGタンパク質
8つのアミノ酸、Asp(アスパラギン酸)-Tyr(チロシン)-Lys(リシン)-Asp-Asp-Asp-Asp-Lysからなるペプチド。抗体との結合親和性が高くタンパク質の標識や精製のために使用される。 - 7.ポリアクリルアミドゲル電気泳動
アクリルアミドの重合体であるポリアクリルアミドを用いてタンパク質や核酸を分離する手法。一般的に分子量の大きなもののほうが分子量の小さなものよりも移動距離が短くなる。 
 
 図1 直鎖状のmRNAにおける始まりと終わりがある通常のタンパク質合成反応
リボソームは、SD配列上で複合体を形成する。この段階が全サイクルで最も時間がかかる。その後、開始コドンまで進み、タンパク質合成を始める。終止コドンに到達すると、リボソームは解離し、次の反応サイクルに向かう。
 
 図2 終りのないローリングサークル(回転式)タンパク質合成反応
リボソームは、いったんタンパク質合成を始めるとそのままずっとタンパク質合成を続ける。
 
 図3 直鎖状mRNAの配列と環状mRNA
126塩基と252塩基長の環状RNAの合成
 
 図4 合成した環状mRNA(A)とリボソームと126塩基のmRNA複合体のモデル(B)
 
 図5 ポリアクリルアミドゲル電気泳動の解析結果
- (A) 直鎖状mRNAと環状mRNAを用いた大腸菌の無細胞系タンパク質合成過程を用いたタンパク質合成。反応液をポリアクリルアミドゲル電気泳動で分子量解析した。126塩基、168塩基の環状mRNAでは大量のペプチドが確認できる。
 - (B) 126塩基の環状RNAにおける終止コドン有り(Lane1)、無し(Lane2)のタンパク質合成反応における影響。終止コドン無しの環状mRNAでは大量のペプチドが確認できる。
 
