理化学研究所(理研)生命医科学研究センター骨関節疾患研究チームの池川志郎チームリーダー、郭竜副チームリーダー、薛婧怡大学院生リサーチ・アソシエイトらの共同研究チームは、新たなタイプの骨の遺伝性難病、「Ikegawa型大理石骨病(osteopetrosis,Ikegawa type)」を発見し、その原因遺伝子SLC4A2[1]を同定しました。
本研究成果は、大理石骨病[2]の治療法の開発、ならびに骨の量を制御する破骨細胞[3]の制御機構のさらなる解明につながると期待できます。
池川チームリーダーらは骨・関節の遺伝病のコンソーシアムを設立し、原因遺伝子が分かっていない骨・関節の難病のデータを全世界から収集しています。
今回、共同研究チームは収集されたデータの中から、頭蓋骨の肥厚、脊椎の一様な骨濃度の上昇、骨盤の辺縁の骨硬化などの特徴的な臨床像を示す、これまで知られていないタイプの大理石骨病の患者を発見しました。全エクソームシーケンス解析[4]により、この患者はSLC4A2遺伝子の両方のアレル[5]に遺伝子の機能喪失を引き起こす変異を持つことが分かりました。SLC4A2は細胞膜に存在するイオンチャネル[6]のタンパク質で、細胞内に塩化物イオンを取り込み、細胞外に炭酸水素イオンを排出する働きをしています。さまざまな実験により、このSLC4A2の機能喪失が、骨を消化する破骨細胞の形成・分化を阻害し、異常な骨量の増加を引き起こすことを証明しました。
本研究は、科学雑誌『Journal of Bone and Mineral Research』(11月11日付)に掲載されます。
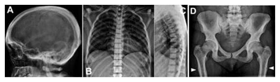
頭蓋骨、脊椎、骨盤、大腿骨の骨濃度の増加が見られる、Ikegawa型大理石骨病患者のX線像
背景
骨や関節をはじめとする運動器には、多くの遺伝性難病があります。池川志郎チームリーダーらは、運動器の遺伝性難病の原因遺伝子の同定を出発点に、原因遺伝子とその変異の機能解析を通じて画期的な診断法・治療法を開発するとともに、骨格・運動器の成長・発達・維持のメカニズムを解明することを目指しています。これまでに30の運動器疾患の原因遺伝子を世界に先駆けて発見し、その分子病態を明らかにしてきました注1)。
池川チームリーダーは、運動器の遺伝性難病の医療と研究のために、骨系統疾患コンソーシアムを設立し注2)、骨格・運動器の遺伝性難病の症例、およびその臨床データを数多く収集してきました。その中からこれまで知られていないタイプの大理石骨病の患者を発見しました。この患者には、頭蓋骨の肥厚、脊椎の一様な骨濃度の上昇、骨盤の辺縁の骨硬化、長管骨と短管骨の骨幹部の皮質の拡大などの特徴的な異常が認められました(図1)。このような骨格異常の組み合わせは過去に報告がなく、新たな疾患であると考えられました。そこで、共同研究チームはこの疾患を「Ikegawa型大理石骨病(osteopetrosis, Ikegawa type)」と名付け、その未知の原因遺伝子の同定に挑みました。
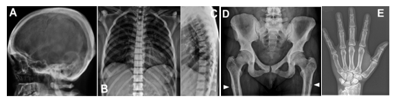
図1 Ikegawa型大理石骨病のX線像
新たなタイプの大理石骨病(Ikegawa型大理石骨病)患者のX線像。A:頭蓋骨は幅が厚い。B, C:脊椎は一様に骨濃度が上昇している。D:骨盤、大腿骨の骨濃度の増加。白矢印は、大腿骨の偽骨折。E: 手の短管骨の皮質は幅が厚い。
- 注1)池川志郎.整形外科領域のゲノム解析. 整形外科71(6):716-9, 2020. 池川志郎.整形外科領域のゲノム医療-現状と今後の課題-. 日本整形外科学会雑誌.94(1):27-31,2020.
 - 注2)骨系統疾患コンソーシアム
 
研究手法と成果
共同研究チームは、全エクソームシーケンス解析によりこの患者の遺伝子変異を探索し、患者はSLC4A2遺伝子上に変異と思われる塩基配列の変化を二つ持つことを発見しました。SLC4A2(Solute carrier 4A2:別名AE2)は、細胞膜に存在するイオンチャンルのタンパク質で、細胞内に塩化物イオン(Cl-)を取り込み、細胞外に炭酸水素イオン(HCO3-)を排出する働きをしています。
SLC4A2遺伝子の変異体はこれまでにマウスやウシでは報告がありましたが、ヒトの疾患との関係は知られていませんでした。患者は、c.556G>A [p.Ala186Thr] と c.1658T>C [p.Val553Ala]の二つの塩基配列の変化を持っていました。家族の遺伝子解析の結果、患者はSLC4A2遺伝子の両方のアレルに変異を持つ複合ヘテロ接合体であることが分かりました。
そこで、この二つの変異の機能解析を行いました。遺伝子導入実験によるSLC4A2変異体(p.Ala186Thrとp.Val553Ala)の細胞内へのCl-の輸送能は、野生型に比べ、有意に低下していました(図2A)。また、CRISPR-CAS9[7]によるゲノム編集[7]により、マウスの破骨細胞前駆細胞の株化細胞[8]であるRAW264.7細胞[9]からSlc4a2遺伝子のノックアウト細胞(KO細胞)を作製し、ノックアウト・レスキュー[10]を行ったところ、SLC4A2変異体を導入してもKO細胞は破骨細胞に分化できませんでした(図2B)。さらに、蛍光抗体法[11]およびピットアッセイ[12]により、SLC4A2変異体を導入したKO細胞では、異常なポドソームベルト[13]の形成を伴う骨吸収障害があることが分かりました。これらの結果から、二つの変異はいずれもSLC4A2遺伝子の機能を喪失する変異であることが明らかになりました。
図2 SLC4A2変異の機能解析
- A)細胞内へのCl-輸送能の測定。WT: wild type(野生型)。SLC4A2変異体(p.Ala186Thrとp.Val553Ala)では、細胞内へのCl-イオンの輸送が阻害されている。
 - B)RAW264.7細胞由来のマウスSlc4a2-ノックアウト細胞(KO)を用いたノックアウト・レスキュー。SLC4A2変異体を導入しても、破骨細胞数は回復しない。
 
SLC4A2は、マクロファージ/単球系の細胞の細胞膜に分布しています。破骨細胞の分化過程では、SLC4A2の発現が上昇し、細胞内のCl-が増加するため、pHが低下します。細胞内pHが低下すると、pH感受性システインプロテアーゼ[14]が活性化し、突起状のポドソーム[13]の分解が調節されます。これにより、ポドソームリング[13]やポドソームベルトの形成が進み、破骨細胞前駆細胞から破骨細胞への分化が促進されると考えらえています(図3左)。従って、SLC4A2の機能不全により、「骨を消化して減らす」という破骨細胞の機能が阻害され、異常に骨量が増した、新たなタイプの大理石骨病が発症すると考えられます(図3右)。
図3 破骨細胞の分化におけるSLC4A2の役割の概念図
- 左)SLC4A2が正常の場合。細胞膜のSLC4A2により細胞内に輸送されたCl-により、破骨細胞前駆細胞の細胞内pH(pHi)が低下する。これにより、pH感受性システインプロテアーゼが活性化され、ポドソームリングやポドソームベルトの形成が進み、骨吸収能を持った成熟破骨細胞が形成される。
 - 右)SLC4A2が機能喪失変異した場合。細胞内に輸送されるCl-が減少するため、破骨細胞前駆細胞のpHiが上昇する。これにより、pH感受性システインプロテアーゼが活性化されず、ポドソームリングやポドソームベルトの形成が進まない。その結果、成熟破骨細胞が形成されず、骨量が異常に増加する。
 
今後の期待
破骨細胞の発生・分化の過程にSLC4A2がどのように関わっているのかは、これまでよく分かっていませんでした。本研究での発見をもとに、ヒト破骨細胞の分化の制御機構の解明が進展するものと期待できます。
骨系統疾患コンソーシアムが収集した骨格・運動器の遺伝性難病の臨床データベースには、いまだ知られていない数多くの疾患が存在します。次世代シーケンサー[15]を駆使した大規模シーケンス解析により、新たな希少遺伝病・難病とその原因遺伝子のさらなる発見が期待できます。原因遺伝子が発見されれば、その遺伝子と遺伝子変異の機能解析により、疾患の分子病態の解明が進み、医学としてはその疾患の画期的な治療法・予防法の開発が、科学としては新たな生命機構の発見、解明が進むと考えられます。
補足説明
- 1.SLC4A2
Solute carrier 4A2の略。細胞膜に存在するイオントランスポーター。細胞内に塩素イオン(Cl-)を取り込み、細胞外に炭酸水素イオン(HCO3-)を排出する。これまで、そのヒトでの機能、骨格形成における役割についてはよく分かっていなかった。 - 2.大理石骨病
骨格、運動器の代表的な遺伝性難病。骨の濃度が上昇し、X線写真で大理石のように白く映るのでこの名前が付いている。骨は硬いが、チョークのように脆く、折れやすくなる。遺伝形式や臨床像が異なるさまざまなタイプの存在が知られている。 - 3.破骨細胞
骨の細胞の一つで、骨を破壊(吸収)する役割を担っている。骨は常に新陳代謝が行われており、骨を吸収する破骨細胞と骨を形成する骨芽細胞によって、常に壊され新しくつくり直されている。 - 4.全エクソームシーケンス解析
大規模疾患遺伝子解析の手法の一つ。ゲノムの中のタンパク質に関する情報を含むエクソン部分(ゲノム全体の約3%)とその周辺のイントロン部分を、次世代シーケンサーを使って、網羅的包括的にシーケンスして解析する。 - 5.アレル(対立遺伝子座位)
哺乳類は母親と父親から同じ遺伝子セットを持つ染色体を1組ずつ受け継ぐ。この両親から受け継いだ1対の遺伝子セットをアレルまたは対立遺伝子座と呼ぶ。 - 6.イオンチャネル
細胞膜など生体膜上のイオンの通り道。 - 7.CRISPR-CAS9、ゲノム編集
ゲノム編集(genome editing)は、思い通りに遺伝子の塩基配列を改変する技術。部位特異的ヌクレアーゼを利用して、特定の配列を狙ってゲノムDNAを切断する。CRISPR/Cas9は、Clustered Regularly Interspaced Short Palindromic Repeats/ Crispr ASsociated protein 9の略で、部位特異的ヌクレアーゼの一つ。現時点でゲノム編集に用いられる部位特異的ヌクレアーゼの主流である。 - 8.株化細胞
一定の性質をもって、半永久的に増殖する能力を獲得した培養細胞。 - 9.RAW264.7細胞
マウスマクロファージ由来の株化細胞。培養条件により、破骨細胞に分化誘導できる。 - 10.ノックアウト・レスキュー
遺伝子、遺伝子変異の機能解析の手法の一つ。対象遺伝子を欠失(ノックアウト)した細胞や動物に、遺伝子や遺伝子変異を導入して、機能の回復(レスキュー)を調べる。 - 11.蛍光抗体法
組織化学における免疫染色法の手法の一つ。蛍光色素によって標識した抗体を用いて組織切片を染色する。 - 12.ピットアッセイ
Pit formation assay 法。試験管内での破骨細胞の骨吸収能の測定法。象牙質切片またはオステオアッセイプレート上で形成された破骨細胞は、骨基質を溶解し、吸収窩(か)(ピット:Pit)を形成する。吸収窩の総面積を測定し、破骨細胞の骨吸収能の指標とする。 - 13.ポドソーム、ポドソームベルト、ポドソームリング
ポドソーム(podosome)は、マクロファージ、破骨細胞、樹状細胞などの単球由来細胞、血管内皮細胞、平滑筋細胞などが形成する突起状の構造物。破骨細胞では接着に関わり、破骨細胞と骨との接着面に環状に無数に配置される。破骨細胞の成熟に伴い、より高次の環構造を形成し、ポドソームベルト、さらにはポドソームリングとなる。 - 14.pH感受性システインプロテアーゼ
触媒部位において、システインのチオール基を求核基として用いるタンパク質分解酵素であるシステインプロテアーゼのうち、酵素活性がpH感受性であるもの。 - 15.次世代シーケンサー
従来のサンガー法によるシーケンサー(DNAの塩基配列の決定装置)に対し、格段に優れた配列の決定速度を持つシーケンサーの総称。 
共同研究チーム
理化学研究所 生命医科学研究センター 骨関節疾患研究チーム
大学院生リサーチ・アソシエイト 薛 婧怡(シュエ・チンイ)
(横浜市立大学 大学院医学研究科 環境分子医科学 大学院生)
副チームリーダー 郭 竜(ゴウ・ロン)
研究員 王 錚(ワン・ジェン)
上級研究員(研究当時) 飯田 有俊(いいだ ありとし)
(現 国立精神神経センターメディカルゲノムセンター)
チームリーダー 池川 志郎(いけがわ しろう)
横浜市立大学 大学院医学研究科 遺伝学
教授 松本 直通(まつもと なおみち)
准教授 三宅 紀子(みやけ のりこ)
(現 国立国際医療センター研究所 疾患ゲノム研究部)
原論文情報
- Jing-yi Xue, Giedre Grigelioniene, Zheng Wang, Gen Nishimura, Aritoshi Iida, Naomichi Matsumoto, Emma Tham, Noriko Miyake, Shiro Ikegawa, Long Guo., "SLC4A2 deficiency causes a new type of osteopetrosis", Journal of Bone and Mineral Research
 
発表者
理化学研究所
 生命医科学研究センター 骨関節疾患研究チーム
チームリーダー 池川 志郎(いけがわ しろう)
副チームリーダー 郭 竜(ゴウ・ロン)
大学院生リサーチ・アソシエイト 薛 婧怡(シュエ・チンイ)
研究グループの主要メンバー。(左から)池川志郎、薛婧怡、郭竜、王錚、大槻知子
 報道担当
理化学研究所 広報室 報道担当
お問い合わせフォーム
