2024年1月31日
理化学研究所
東京大学
静岡県立総合病院
静岡県立大学
アジア最大の強皮症全ゲノム関連解析
-新たな遺伝背景との関連の同定と病態形成における関与の解明-
理化学研究所(理研)生命医科学研究センター ゲノム解析応用研究チームの寺尾 知可史 チームリーダー(静岡県立総合病院 臨床研究部 免疫研究部長、静岡県立大学 薬学部ゲノム病態解析講座 特任教授)、石川 優樹 研究員、東京大学 大学院新領域創成科学研究科 メディカル情報生命専攻の松田 浩一 教授らの共同研究グループは、難治性全身性自己免疫疾患の全身性強皮症(SSc)[1]におけるアジア人最大規模の全ゲノム関連解析(GWAS)[2]を行い、新規疾患関連一塩基多型(SNP)[3]を同定し、病態形成における機能を解明しました。
本研究成果は、SScをはじめとする自己免疫疾患のゲノム研究の進展や、診断や治療など日常診療の発展に貢献すると期待できます。
共同研究グループは、1,428人のSSc患者と112,599人の非SSc対照者によるGWASを行い、免疫機能に重要な領域であるFCGR/FCRL領域のSNPを日本人における新規疾患関連SNPとして同定しました。このSNPは免疫細胞の機能に重要な転写因子[4]IRF8の結合モチーフ[4]の一部であり、特にB細胞[5]におけるIRF8の結合親和性を変化させることで病態形成に関与していることが示唆されました。また、ヨーロッパ人最大のGWAS要約統計量[6]を用いたメタ解析[7]では、さらに三つの新規疾患関連SNPが同定された他、ポリジェニックリスクスコア(PRS)[8]の疾患リスク評価における有用性が示されました。
本研究は、科学雑誌『Nature Communications』オンライン版(1月31日付:日本時間1月31日)に掲載されました。
過去最大規模の日本人・ヨーロッパ人強皮症におけるメタ全ゲノム関連解析
背景
全身性強皮症(SSc)は発症に複数の遺伝因子と環境因子の相互作用が関与する複合性疾患と考えられています。関節リウマチや高血圧、糖尿病なども複合性疾患に含まれます。複合性疾患における遺伝因子の同定には、未知の遺伝因子を含めた網羅的解析であるGWASが有用です。SScにおいてもヨーロッパ人を中心としたGWASは、疾患リスク遺伝子の同定と病態解明に貢献してきました。
一方、ヨーロッパ人とは遺伝的背景の異なる東アジア人におけるSScのGWASは過去にわずか二つであり、ヨーロッパ人GWASと比較して規模が小さく統計学的検出力に限界があったことから、東アジア人SScの遺伝的背景の解明は十分に進んでいませんでした。サンプルサイズを十分に大きくし統計学的検出力を上げた東アジア人SScのGWASを行い、ヨーロッパ人SScと共通の遺伝因子および東アジア人特有の遺伝因子を同定することは、SScの病態解明に意義があると考えられました。
研究手法と成果
共同研究グループは、厚生労働省研究班を中心に全国の多施設で参加を募った患者(1,428人)から同意の上で提供された末梢血由来のDNAを用いて、マイクロアレイによる遺伝子型タイピング[9]を行いました。アレイによる遺伝子型に基づいて、インピュテーション[10]によって全ゲノムの遺伝子型を決定しました。このインピュテーションには、約3,000人の日本人全ゲノムシークエンス(WGS)[11]サンプルを含む参照パネルを用いており、高い精度でインピュテーションを行うことで正確な推定に基づいた遺伝子型の決定を行っています。また、SScに関連する臨床情報として血中の自己抗体[1]、臨床亜型、間質性肺炎などの合併症の有無などの情報も同意の上で提供されました。
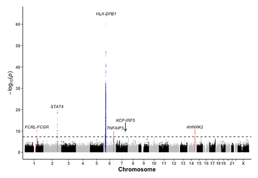
非SScコントロールサンプルとして、バイオバンク・ジャパンを中心とした合計112,599人のサンプルを用いてGWASを行い、三つの新規疾患関連SNPを含む六つの疾患関連SNPを同定しました(図1)。三つの新規疾患関連SNPのうち、FCGR/FCRL領域のrs6697139は、東アジア人において全身性エリテマトーデス(SLE)の疾患リスクSNPであり、本研究におけるSSc患者においてもマイナーアレル[3]によるオッズ比(OR)[12]が高い値を示しましたが(OR 1.366)、よりマイナーアレル頻度[3]が高いヨーロッパ人においては統計学的に有意な関連はなくORも低値でした(OR 1.026)。このことは、FCGR/FCRL領域のSNPの関連が日本人に特異的である可能性を示していました。
図1 アジア人最大の強皮症GWAS
アジア人最大規模の強皮症GWASにより、三つの新規疾患関連領域(赤ドット)を含む六つの疾患関連領域が同定された。
本SNPに関する機能解析を行ったところ、本SNPと連鎖不平衡[13]にあるrs10917688が遺伝子発現調節領域にあり、免疫細胞の分化および機能調節に関わる転写因子IRF8の結合モチーフを形成することが分かりました(図2左)。
さらにIRF8のSNPであるrs11117420はヨーロッパ人SScにおいて既知の疾患関連SNPであることから、rs10917688とrs11117420におけるアレルの組み合わせによる疾患リスクを日本人SScで比較したところ、rs10917688はIRF8のリスクアレルが存在する場合にのみ疾患リスクを上昇させることが分かりました(図2右)。これらの結果から、rs10917688はIRF8の結合親和性を変化させることでSScの病態形成に関連していることが示唆されました。
図2 rs10917688とIRF8の相互作用
(左)rs10917688とIRF8結合モチーフの一部を形成する(対照アレル(REF)C、リスクアレル(ALT)T)。(右)FCGR/FCRL(rs10917688;Cコントロールアレル、Tリスクアレル)とIRF8(rs11117420;Cコントロールアレル、Gリスクアレル)のアレルの組み合わせによる日本人における疾患リスクの比較。コントロールアレル(青)の組み合わせを対照として表示。リスクアレル(赤)同士の組み合わせで有意に疾患リスクが上昇する。
また、ヨーロッパ人最大のSScメタGWAS解析要約統計量注)を用いたメタ解析により、さらに三つの新規疾患関連領域を同定しました(図3)。いずれの領域も免疫学的に重要な領域であること(EOMES、CD40)、また疾患の男女差を説明し得る領域であること(ESR1)など、SScの病態形成において重要な領域が同定されたといえます。
- 注)Lopez-Isac, E., et al., "GWAS for systemic sclerosis identifies multiple risk loci and highlights fibrotic and vasculopathy pathways," Nat Commun. 2019, https://doi.org/10.1038/s41467-019-12760-y
図3 日本人とヨーロッパ人とのメタ解析
ヨーロッパ人最大のSSc GWASメタ解析要約統計量を用いた日本人SSc GWASとのメタ解析により、三つの新規疾患関連領域(赤ドット)に加えて、合計30の疾患関連領域が同定された。
遺伝子発現を制御するのに重要なエンハンサーに関連するヒストン修飾部位(H3K9Ac、H3K27Ac、H3K4me1、H3K4me3)への遺伝性の集積を細胞種ごとに見た解析では、ヨーロッパ人と日本人の両方において、特にB細胞への集積が認められました。これはリツキシマブやトシリズマブなどB細胞を標的とした薬剤がSScに有効であることを遺伝的に説明できる知見として有意義な結果であったといえます。
SScを含む多因子疾患においては、ゲノムワイド閾値未満のSNPも含めて複合的に病態を形成しています。このため、GWASにおける効果量[12]と遺伝子型とを用いてスコア化したPRSは、疾患予測や患者の層別化に有用であることが知られています。
本研究においてもPRSに基づいた疾患発症リスクの層別化およびPRSの発症予測能の評価を行いました。適切なSNPの選定により作成したPRSの疾患予測能はROC曲線下面積(AUC)[14]約0.610と臨床応用のレベル(AUC & 0.8)には及びませんでしたが、上位5%のPRSを有する被験者は、有意に疾患発症リスクが高いことも示されました(図4)。PRSのSSc診療における有用性を示した意義は大きく、今後SNP選定の改善により、さらなるパフォーマンスの向上と臨床応用の可能性が示唆されました。
図4 PRSの値に応じた疾患リスクの層別化
今回の研究サンプルを、PRSの値に応じて20の群(quantile)に振り分け、各群の疾患発症リスク(オッズ比、OR)を、中間群を対照として示した。トップ5%に入るPRSを有するサンプルの疾患発症リスクは中間群の2倍以上になる。
今後の期待
日本人をはじめとする東アジア人強皮症における疾患関連SNPの同定に至ったことが本研究における最も大きな成果であるとともに、今後の強皮症研究につながる発見であるといえます。特にFCGR/FCRL領域のSNPは東アジア人に特異的な疾患関連SNPである可能性がある一方で、IRF8との相互作用は欧米人と共通であることが予測され、SNPをはじめとする遺伝因子の病態形成における役割の解明に貢献することが期待されます。また、今後のGWASの発展とより改善されたSNPの選定により、疾患発症予測のみならず罹患臓器や治療反応性、疾患経過の予測といった実臨床に有用なPRSの構築も期待されます。
補足説明
- 1.全身性強皮症(SSc)、自己抗体
皮膚をはじめとした全身臓器の線維化を特徴とする全身性自己免疫疾患の一つ。疾患特異性の高い自己抗体を患者の8割以上で認め、リンパ球の活性化を呈するなど免疫学的な機序が病態形成において重要であると考えられている。抗体は、主に細菌やウイルスなどの外来の異物(抗原)を排除する目的で産生されるタンパク質であり、ワクチンや疾患の治療にも使用される。しかし、自分の体由来の物質を異物として認識する抗体が産生されることがあり、これを自己抗体と呼ぶ。自己抗体は、強皮症や関節リウマチ、全身性エリテマトーデスなど種々の自己免疫疾患で認められ、診断や治療経過のモニターに使用される。SScはSystemic Sclerosisの略。 - 2.全ゲノム関連解析(GWAS)
疾患の有無や臨床検査値と遺伝子多型の関連を全ゲノムにわたって網羅的に解析する統計学的手法。特定の遺伝子やSNP(下記[3]参照)を対象にしないバイアスのないアプローチであることから、新規の関連を同定することが可能となる。GWASはGenome-Wide Association Studyの略。 - 3.一塩基多型(SNP)、マイナーアレル、マイナーアレル頻度
遺伝子上に存在する一塩基の違い(多型)をSNPと呼ぶ。SNPが身長などの形質やさまざまな疾患と関連を示すことが知られており、その関連を網羅的に解析するのがGWASである。ヒトをはじめとした2倍体と呼ばれる生物では、母親由来と父親由来の染色体を受け継ぐため、異なる遺伝情報を持つ二つの対遺伝子が存在しており、この対遺伝子を対立遺伝子あるいはアレルと呼ぶ。SNPにおいては、頻度の低いアレルをマイナーアレルと呼び、頻度の高いアレルをメジャーアレルと呼ぶことがある。マイナーアレルが疾患のリスクアレルあるいは効果アレルであることが多いことから、マイナーアレル頻度は一般的にリスクアレルあるいは効果アレルの頻度であると解釈されることが多い。SNPはSingle Nucleotide Polymorphismの略。 - 4.転写因子、結合モチーフ
遺伝子発現調節領域に相当するプロモーターやエンハンサーに結合することで、遺伝子発現調節機構を制御するタンパク質。ゲノム配列上で各転写因子が特異的に結合する配列を転写因子結合モチーフといい、遺伝子配列パターンとモチーフ配列との比較により転写因子の結合を予測することが可能である。また、結合モチーフ内の塩基の違いにより転写因子の結合親和性が変化するため、結合モチーフ内のSNPは転写因子の結合性の変化を介して遺伝子発現調節を変化させることがある。 - 5.B細胞
免疫細胞の一つでワクチンの実体である免疫グロブリンの産生細胞もB細胞の一種である。さまざまな外来抗原(異物)に対応する必要性から非常に多様なクローンであり、表面に発現するB細胞受容体の多様性によりさまざまな抗原への対応を可能にしている。自己抗体(上記[1]参照)の産生を担うのもB細胞である。 - 6.要約統計量
各SNPにおける関連解析の結果をまとめたマトリックスから成るデータ形式で、要約統計量を使用することで個人の遺伝情報を共有することなく、他の関連解析結果などとの統合解析が可能になる。個人情報の観点から個人の遺伝情報を異なる研究者間で共有することは推奨されないが、要約統計量であればこの問題を回避できることから、公開データとしても使用される。 - 7.メタ解析
同一の科学的命題を検討している複数の研究結果を統合して解析を行う統計学的手法の一つ。ここでは、複数の人種にわたるSSc GWASを統合した解析。サンプルサイズを大きくできることが最大のメリットで、単一の研究では検出できなかった関連を見つけられる一方、逆に真でない関連を除くことが可能になる。ただし、異なる研究間で統計学的異質性の高い場合、メタ解析の解釈には注意が必要である。 - 8.ポリジェニックリスクスコア(PRS)
各SNPの関連解析における効果量(下記[12]参照)と遺伝子型とを乗じたものの総和であり、疾患の発症や抗体が陽性などのリスクの大きさの指標。ここでは、自己抗体陰性のものに対して自己抗体が陽性となるリスクが何倍に上がるかを表す。PRSはPolygenic Risk Scoreの略。 - 9.DNAマイクロアレイによる遺伝子型タイピング
さまざまな短いDNA配列を高密度に整列固定したチップ上で、サンプルDNAとの相補的な結合を介してサンプルDNAの遺伝子型を決定する技術をいう。現在では各種のマイクロアレイチップがあり、サンプルの人種や目的に応じたチップの種類が選択される。 - 10.インピュテーション
全ゲノムシークエンス(下記[11]参照)サンプルなどで作成された参照パネルを用いて、アレイで検出されたアレルパターンから、サンプルの遺伝子型を統計学的推測により決定していく技術。人種による遺伝背景の違いから、人種に応じた参照パネルが存在する。 - 11.全ゲノムシークエンス(WGS)
マイクロアレイとは異なり、全ゲノム領域でDNAシークエンスを行い、遺伝子配列を決定する技術。マイクロアレイでは捉えることが難しい頻度の低いSNPの検出などに有用である。次世代シークエンサーの登場と改良により、シークエンスの精度改善とコスト低下が進んでおり、今後さらに需要が高まることが期待される。WGSはWhole Genome Sequenceの略。 - 12.オッズ比(OR)、効果量
発症リスクの大きさの指標。基準とするものに対して、発症するリスクが何倍に上がるかを表す。オッズ比の自然対数をとったものを効果量と呼び通常βと示され、線形回帰モデルにおいて直線の傾きに相当しており、傾きが大きいほどリスクが高いと解釈される。ロジスティック回帰モデルにおいても同様の解釈で考えることができる。ORはOdds Ratioの略。 - 13.連鎖不平衡
同一染色体上にある複数の遺伝子アレルが高い相関を持って世代間で伝わることをいう。SNPの多くは連鎖不平衡にあるため、疾患と関連するSNPの多くは見かけ上の関連を示すのみでTag SNPと呼ばれ、真の疾患関連SNPはCausal SNP(s)と呼ばれ、後者を同定することがGWASの下流解析において重要である。 - 14.ROC曲線下面積(AUC)
統計学や機械学習において、モデルの予測能を示す指標であり、0(0%)から1.0(100%)の範囲の値をとる。ROC曲線(Receiver Operating Characteristic Curve)とは、Y軸に真陽性率、X軸に偽陽性率をとってプロットしたものである。ROC曲線下面積Area Under the ROC Curveを単にAUCと表現することもある。AUCが1に近いほど理想的なROC曲線であり、予測能が高いことを意味する。
共同研究グループ
理化学研究所 生命医科学研究センター
ゲノム解析応用研究チーム
チームリーダー 寺尾 知可史(テラオ・チカシ)
(静岡県立総合病院 臨床研究部 免疫研究部長、静岡県立大学 薬学部ゲノム病態解析講座 特任教授)
研究員 石川 優樹(イシカワ・ユウキ)
研修生 田中 奈緒(タナカ・ナオ)
客員研究員 大伴 直央(オオトモ・ナオ)
客員研究員 末次 弘征(スエツグ・ヒロユキ)
客員研究員 小池 良直(コイケ・ヨシナオ)
上級技師 冨塚 耕平(トミズカ・コウヘイ)
研修生 吉野 宗一郎(ヨシノ・ソウイチロウ)
客員研究員 劉 暁渓(リウ・ギョウケイ)
客員研究員 伊藤 修司(イトウ・シュウジ)
ファーマコゲノミクス研究チーム
特別研究員 曳野 圭子(ヒキノ・ケイコ)
自己免疫疾患研究チーム
上級研究員 鈴木 亜香里(スズキ・アカリ)
基盤技術開発研究チーム
チームリーダー 桃沢 幸秀(モモザワ・ユキヒデ)
骨関節疾患研究チーム(研究当時)
チームリーダー(研究当時)池川 志郎(イケガワ・シロウ)
(現 ゲノム解析応用研究チーム 客員主管研究員)
東京大学
大学院新領域創成科学研究科 メディカル情報生命専攻
クリニカルシークエンス分野
教授 松田 浩一(マツダ・コウイチ)
大学院医学系研究科
感覚・運動機能医学講座 皮膚科学分野
教授 佐藤 伸一(サトウ・シンイチ)
准教授(研究当時)浅野 善英(アサノ・ヨシヒデ)
(現 東北大学 大学院医学研究科 神経・感覚器病態学講座 皮膚科学分野 教授)
臨床カンナビノイド学講座
特任准教授 吉崎 歩(ヨシザキ・アユミ)
社会保険中京病院
膠原病リウマチセンター長 小寺 雅也(コデラ・マサナリ)
皮膚科医長 伊藤 有美(イトウ・ユミ)
皮膚科医師(研究当時)田中 義人(タナカ・ヨシヒト)
皮膚科医師(研究当時)菅田 実穂(カンダ・ミホ)
日本医科大学 大学院医学研究科 アレルギー膠原病内科学分野
教授 桑名 正隆(クワナ・マサタカ)
講師 白井 悠一郎(シライ・ユウイチロウ)
九州大学病院 免疫・膠原病・感染症内科
教授 新納 宏昭(ニイロ・ヒロアキ)
助教(研究当時)赤星 光輝(アカホシ・ミツテル)
(佐賀大学 医学部膠原病・リウマチ内科 講師)
福井大学 医学部感覚運動医学講座 皮膚科学
教授 長谷川 稔(ハセガワ・ミノル)
医員(研究当時)宇都宮 慧(ウツノミヤ・アキラ)
医員(研究当時)笠松 宏至(カサマツ・ヒロシ)
金沢大学 医薬保健研究域 医学系 皮膚分子病態学
教授(研究当時)竹原 和彦(タケハラ・カズヒコ)
教授 松下 貴史(マツシタ・タカシ)
産業医科大学 第1内科学講座
教授 田中 良哉(タナカ・ヨシヤ)
准教授(研究当時)斎藤 和義(サイトウ・カズヨシ)
講師(研究当時)中野 和久(ナカノ・カズヒサ)
群馬大学 大学院医学系研究科 皮膚科学
教授(研究当時)石川 治(イシカワ・オサム)
教授 茂木 精一郎(モテギ・セイイチロウ)
助教 関口 明子(セキグチ・アキコ)
京都大学 大学院医学研究科 内科学講座臨床免疫学分野
教授(研究当時) 三森 経世(ミモリ・ツネヨ)
(医仁会武田総合病院 院長)
准教授(研究当時)大村 浩一郎(オオムラ・コウイチロウ)
講師 吉藤 元(ヨシフジ・ハジメ)
愛知県がんセンター研究所
センター長 井本 逸勢(イモト・イッセイ)
がん予防研究分野長 松尾 恵太郎(マツオ・ケイタロウ)
大学院生(研究当時)河本 知大(コウモト・トモヒロ)
東京女子医科大学 膠原病リウマチ内科
教授 川口 鎮司(カワグチ・ヤスシ)
東京女子医科大学病院 足立医療センター
准教授 高木 香恵(タカギ・カエ)
東海大学 医学部医学科基礎医学系分子生命科学
講師 岡 晃(オカ・アキラ)
熊本大学 大学院生命科学研究部 皮膚病態治療再建学
教授(研究当時)尹 浩信(イン・ヒロノブ)
准教授(研究当時)神人 正寿(ジンニン・マサトシ)
講師(研究当時)牧野 貴充(マキノ・タカミツ)
特任准教授 牧野 雄成(マキノ・カツナリ)
札幌医科大学 大学院医学研究科 臨床免疫学
教授 高橋 裕樹(タカハシ・ヒロキ)
講師(研究当時)山本 元久(ヤマモト・モトヒサ)
(東京大学 医科学研究所附属病院 アレルギー免疫科 准教授)
臨床教授 鈴木 知佐子(スズキ・チサコ)
名古屋市立大学 大学院医学研究科 感覚器・形成医学講座加齢・環境皮膚科学分野
教授 森田 明理(モリタ・アキミチ)
講師(研究当時)西田 絵美(ニシダ・エミ)
(岡崎市民病院 皮膚科)
福島県立医科大学 医学部皮膚科
教授 山本 俊幸(ヤマモト・トシユキ)
大阪大学 大学院医学系研究科・医学部 情報統合医学講座 皮膚科学
教授 藤本 学(フジモト・マナブ)
筑波大学 医学医療系内科
教授(研究当時)住田 孝之(スミダ・タカユキ)
准教授 後藤 大輔(ゴトウ・ダイスケ)
講師 近藤 裕也(コンドウ・ユウヤ)
国立病院機構 宇多野病院 リウマチ・膠原病内科
診療統括部長 柳田 英寿(ヤナギダ・ヒデトシ)
医師 鮎澤 菜穂(アユザワ・ナホ)
北海道大学 大学院医学研究科 免疫・代謝内科学
教授 渥美 達也(アツミ・タツヤ)
客員臨床准教授 堀田 哲也(ホリタ・テツヤ)
東邦大学 医療センター 大森病院膠原病科
遠藤 平仁(エンドウ・ヒラヒト)
大阪大学 大学院医学系研究科
呼吸器・免疫内科学
教授 熊ノ郷 淳(クマノゴウ・アツシ)
講師(研究当時)嶋 良仁(シマ・ヨシヒト)
遺伝統計学
教授 岡田 随象(オカダ・ユキノリ)
大学院生(研究当時)平田 潤(ヒラタ・ジュン)
鳥井医院 院長(研究当時)鳥井 剛(トリイ・タケシ)
京都大学 大学院医学研究科附属ゲノム医学センター
教授 松田 文彦(マツダ・フミヒコ)
研究支援
本研究は、京都大学難治性疾患遺伝研究プロジェクト、日本医療研究開発機構(AMED)(JP23ek0109555、JP21tm0424220、JP21ck0106642、JP23ek0410114、JP23tm0424225)、日本学術振興会(JSPS)科学研究費助成事業(基盤研究(A)JP20H00462)、加藤記念難病研究助成基金、静岡県立総合病院医学研究支援プロジェクト(いずれも研究代表者:寺尾知可史)による助成を受けて行われました。
また、カリフォルニア大学のティファニィ・アマリウタ氏から、PRSにおけるSNPの選定に関する手法と助言の提供を受けて行われました。
原論文情報
- Yuki Ishikawa, Nao Tanaka, Yoshihide Asano, Masanari Kodera, Yuichiro Shirai, Mitsuteru Akahoshi, Minoru Hasegawa, Takashi Matsushita, Kazuyoshi Saito, Sei-ishiro Motegi, Hajime Yoshifuji, Ayumi Yoshizaki, Tomohiro Komoto, Kae Takagi, Akira Oka, Miho Kanda, Yoshihito Tanaka, Yumi Ito, Kazuhisa Nakano, Hiroshi Kasamatsu, Akira Utsunomiya, Akiko Sekiguchi, Hiroaki Niro, Masatoshi Jinnin, Katsunari Makino, Takamitsu Makino, Hironobu Ihn, Motohisa Yamamoto, Chisako Suzuki, Hiroki Takahashi, Emi Nishida, Akimichi Morita, Toshiyuki Yamamoto, Manabu Fujimoto, Yuya Kondo, Daisuke Goto, Takayuki Sumida, Naho Ayuzawa, Hidetashi Yanagida, Tetsuya Horita, Tatsuya Atsumi, Hirahito Endo, Yoshihito Shima, Atsushi Kumanogoh, Jun Hirata, Nao Otomo, Hiroyuki Suetsugu, Yoshinao Koike, Kohei Tomizuka, Soichiro Yoshino, Xiaoxi Liu, Shuji Ito, Keiko Hikino, Akari Suzuki, Yukihide Momozawa, Shiro Ikegawa, Yoshiya Tanaka, Osamu Ishikawa, Kazuhiko Takehara, Takeshi Torii, Shinichi Sato, Yukinori Okada, Tsuneyo Mimori, Fumihiko Matsuda, Koichi Matsuda, Tiffany Amariuta, Issei Imoto, Keitaro Matsuo, Masataka Kuwana, Yasushi Kawaguchi, Koichiro Ohmura, Chikashi Terao, "GWAS for systemic sclerosis identifies six novel susceptibility loci including one in the Fcγ receptor region", Nature Communications, 10.1038/s41467-023-44541-z
発表者
理化学研究所
生命医科学研究センター ゲノム解析応用研究チーム
研究員 石川 優樹(イシカワ・ユウキ)
チームリーダー 寺尾知可史(テラオ・チカシ)
(静岡県立総合病院 臨床研究部 免疫研究部長、静岡県立大学 薬学部ゲノム病態解析講座 特任教授)
寺尾 知可史
石川 優樹
東京大学 大学院新領域創成科学研究科 メディカル情報生命専攻
教授 松田 浩一(マツダ・コウイチ)
報道担当
理化学研究所 広報室 報道担当
お問い合わせフォーム
東京大学 大学院新領域創成科学研究科 広報室
Tel: 04-7136-5450
Email: press [at] k.u-tokyo.ac.jp
地方独立行政法人静岡県立病院機構
静岡県立総合病院 総務課 広報・国際担当
Tel: 054-247-6111(内2235)
Email: sougou-soumu [at] shizuoka-pho.jp
静岡県立大学 広報・企画室
Tel: 054-264-5130 / Fax: 054-264-5099
Email: koho [at] u-shizuoka-ken.ac.jp
※上記の[at]は@に置き換えてください。
