骨や関節は、体を支え動かすための重要な土台です。その骨や関節が変形したり壊れたりする骨関節疾患に多くの人が苦しんでいます。しかし、根本的な治療法はまだほとんど見つかっていません。池川志郎チームリーダー(TL)は、遺伝性の難病から、変形性関節症や骨粗しょう症などの身近な疾患まで、骨関節疾患の発症に関わる遺伝子を次々と見つけ、診断法や治療法の開発につなげようとしています。
池川 志郎(いけがわ しろう)
生命医科学研究センター
骨関節疾患研究チーム
チームリーダー
1957年兵庫県生まれ。東京大学医学部医学科卒業。博士(医学)。東京大学医学部附属病院整形外科、心身障害児総合医療療育センター整形外科医長、東京大学医科学研究所助手などを経て、2000年より理研にて研究室を主宰。2018年より現職。
骨関節疾患に苦しむ患者さんを助けたい
大学卒業後、池川TLは東京大学医学部付属病院で整形外科医として勤務した。「骨関節の難病に苦しむ患者さんが日本中から私たちを頼って来てくれるのですが、根本的な治療法がなく、痛かったら痛み止め、腫れたら冷やすというような対症療法しかできないこともままありました。そのたびに『これでいいのか』とジレンマを感じていました」と当時を振り返る。
転機となったのは、生まれつき骨や関節に異常のある小児患者を担当するようになったことだった。
「子どもたちが苦しんでいる姿を目の当たりにし、どうにか助けたいという気持ちが次第に強くなっていきました。先天性の難病は、一つの遺伝子の異常が原因で生じる単一遺伝子病であることが多いです。そこで、病気の原因となっている遺伝子からアプローチすれば、有効な治療法の開発につながるのではないかと考え、37歳のときに基礎研究の道に転向したのです」
骨関節疾患の原因遺伝子を次々と発見!
骨関節疾患には、大きく分けて単一遺伝子病と多因子遺伝病がある(図1)。多くの人が経験する、膝や股関節などの関節痛(変形性関節症)や骨粗しょう症なども、実は遺伝的な要因が影響する多因子遺伝病だ。多因子遺伝病は、数百もの遺伝子による影響が複雑に絡み、そこに生活習慣の影響が加わって発症するため、関連する遺伝子を特定するのは難しい。
しかし、臨床経験と遺伝子解析研究経験の両方を持つ池川TLは、「こういう病気ならこの遺伝子の可能性が高い」といった絞り込みに独自のノウハウを持つ。こうした強みを生かし、単一遺伝子病の原因遺伝子だけでなく、多因子遺伝病の発症に関わる遺伝子も次々と明らかにしている。まさに狙いを定めて遺伝子を捉える「遺伝子ハンティング」だ。
図1 単一遺伝子病と多因子遺伝病
池川TLは、これまで30の単一遺伝子病の原因遺伝子と、八つの多因子遺伝病で疾患感受性遺伝子を発見した(多因子遺伝病は複数の要因があるため「疾患感受性遺伝子」という)。
新たな難病「Ikegawa型大理石骨病」
遺伝性の難病の中には患者数が少ないため、疾患として定義できていないものもある。苦しんでいる患者にとって、治療法がないだけでなく、病名すら分からないのは辛いことだ。
こうした状況を打開しようと、池川TLは骨・関節の難病に関する情報や経験の共有を目的としたコンソーシアムを設立し、世界中からデータを集めている。
2021年12月には集まった難病の大理石骨病のデータの中から、新たなタイプを発見し、「Ikegawa型大理石骨病」と名付けた。
大理石骨病とは、骨が異常に多くつくられてしまう病気だ。X線(レントゲン)写真で大理石のように白く写ることから、こう呼ばれている。骨は硬いが、チョークのように脆いため、骨折しやすくなってしまう。
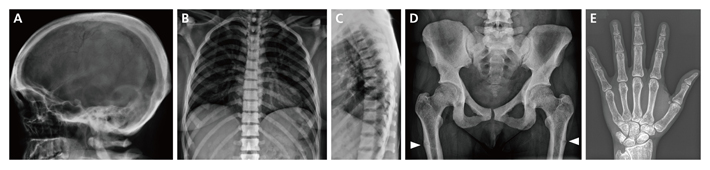
「大理石骨病は、遺伝の仕方や症状の表れ方が異なる10以上のタイプが知られていました。今回発見したIkegawa型では、これまで知られている大理石骨病とは異なる特徴がありました(図2)」
図2 Ikegawa型大理石骨病患者のX線像
X線像により以下A~Eの特徴があることが分かった。
A:頭蓋骨がぶ厚い。B、C:脊椎は一様に骨濃度が高い。D:骨盤と大腿骨の骨濃度が高く、大腿骨の偽骨折(日常のちょっとした動作で骨に亀裂が入ること)が見られる(白矢印)。E: 手の骨の表面を構成する皮質が厚い。
破骨細胞の分化の仕組みを解明
骨は硬くて変化していないものと考えがちだが、実際の骨の中は、壊してはつくり、壊してはつくりが繰り返され、絶えず変化している。こうした骨代謝は、骨を壊す破骨細胞と、骨をつくる骨芽細胞が行っている。この二つの細胞がバランスよく働くことで、常に骨の量や強度が適切に維持されている。しかし、大理石骨病では、破骨細胞の機能に異常が生じており、骨芽細胞ばかりが働いてしまう。そのため、全身の骨の量が異常に増えてしまうのだ。
今回、池川TLは、Ikegawa型大理石骨病の原因がSLC4A2という遺伝子であることを特定した。また、SLC4A2が破骨細胞の分化に関わる仕組みを分子レベルで解明し、この遺伝子が機能を失っているため、破骨細胞が正常に分化していかないことを明らかにした。「破骨細胞の分化にSLC4A2がどう関わっているか、その仕組みが初めて明らかになりました。難病の原因遺伝子を見つけることは、骨代謝のメカニズムの解明にもつながるのです」
単一遺伝子病から多因子遺伝病の治療へ
Ikegawa型大理石骨病という新たな難病を発見し、その原因遺伝子と分子レベルのメカニズムが分かったことで、この疾患の診断法や治療法を開発する道が開かれた。「遺伝病だからといって遺伝子を治さなくては症状がよくならないというわけではありません。発症の分子メカニズムを明らかにし、それを抑える効果のある治療薬を見つけられれば、症状を元から緩和させることができます。現在は治療薬のターゲットを検討しているところです」
また、こうした単一遺伝子病の治療薬開発を、多因子遺伝病の治療に発展させることも期待できる。「単一遺伝子病の中には多因子遺伝病と似ているものがあり、原因となっている遺伝子が共通していることが分かってきました。つまり、単一遺伝子病の薬が多因子遺伝病にも効く可能性があるのです」
実際、製薬会社と共同で治療薬の開発を進めているものもある。「すべての骨関節疾患の患者さんを助けたい」という思いで始めた池川TLの研究は、着実にその実現に向けて進んでいる。
(取材・構成:秦千里/制作協力:サイテック・コミュニケーションズ)
関連リンク
- 2021年11月11日プレスリリース「新たな大理石骨病とその原因遺伝子を発見」
 
この記事の評価を5段階でご回答ください
