理化学研究所(理研)生命機能科学研究センター 上皮形態形成研究チームのヨウチュン・ワン チームディレクター、ビパシャ・デイ 特別研究員、武田 美智子 テクニカルスタッフⅠらの国際共同研究グループは、ハエの初期胚には正常な形態形成の阻害要因となり得る力学的ストレス[1]が存在し、双翅目(そうしもく)[2]昆虫はこのリスクを抑制する二つの仕組みを持つことを明らかにしました。
本研究成果は、限られた空間内で多数の細胞が集まり移動する動物の発生現象において、体の形を適切につくり上げる仕組みがどのように進化したかの解明に貢献します。
ショウジョウバエ[2]の初期胚では、頭部と胴部の境界で上皮[3]の一部が筋状に陥入する「セファリック・ファロウ(Cephalic furrow、CF)[4]」と呼ばれる構造が一過的に出現します。CFはその後、元の平らな状態に戻り体内組織や器官を形成せず、発生における機能は不明でした。
国際共同研究グループは、発生の進行に伴って頭部と胴部が伸長した結果、その境界線で力学的ストレスが生じていることを発見しました。CFはこのストレスを胚の内側に逃す機能を持ちますが、CFの形成を阻害すると頭部・胴部境界でそれぞれの上皮が衝突し、発生が正常に進まなくなりました。また、CFを形成しない双翅目昆虫では、細胞の分裂方向を制御することで上皮の表面積の拡大を緩和し、力学的ストレスを抑える仕組みがあることが分かりました。
本研究は、科学雑誌『Nature』オンライン版(9月3日付)に掲載されました。
CFを形成するショウジョウバエ胚(左)と、CFを形成しないユスリカ胚(右)
背景
動物の体は、受精卵の分裂により生み出された多数の細胞が集合・移動して形づくられます。発生の初期では、極めて小さな胚体の中でさまざまな組織や臓器の形成が同時に進むため、体のある領域が成長・変形すると、別の領域に何らかの力をかけてしまうと考えられます。しかし、このような力が各組織の形成にどのような影響を及ぼしているのかや、組織間に生じる力学的なストレスに対抗して正常な形態形成を守る仕組みが存在しているのかはよく分かっていません。
ショウジョウバエは、発生の遺伝的な仕組みを理解するのに適したモデル生物です。ヒトを含む多くの動物と同じように、ショウジョウバエの発生でも原腸形成[5]期に細胞が内部に陥入することで三つの胚葉[5]が形成され、腹側からは中胚葉が、後部からは内胚葉が生じます。このとき頭部と胴部の境界にも、上皮の一部が筋状に陥入してできた「セファリック・ファロウ(Cephalic furrow、CF)」と呼ばれる構造が現れます(図1)。ところがCFは、発生の進行とともに元の平らな状態に戻ってしまい、体内組織や器官の形成に寄与しません。CFのような一過的に形成される構造がどのような機能を持ち、なぜ進化したのかは謎に包まれています。
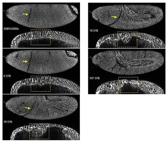
図1 ショウジョウバエ胚のCFの形成と退縮
ショウジョウバエ胚を左側面からみた全体像(左が頭部側、上が背側)と、上皮の一部を拡大した像(水平断面像)を上下に並べた図。黄色破線の枠は、CF(Cephalic furrow)が形成される領域を示す。CF(黄色矢印で示す)の形成は原腸形成の開始とともに一定の位置から始まり、続いて大規模に陥入する(39分後)。CFは最終的には胚表面へと逆戻りし(207分後)、体や器官の一部にはならない。胚の長さは約0.5mm。
研究手法と成果
国際共同研究グループは、CFの役割とその進化的な起源を明らかにすることを目指しました。まず、ハエや蚊が属する双翅目昆虫の発生過程について文献的な調査と実際の胚の観察を行ったところ、CFが形成されるのはショウジョウバエ科を含む単系統群[6](環縫(かんぽう)群Cyclorrhapha)のハエに限られ、その他の祖先的な系統のグループはCFを形成しないことが分かりました(図2)。これは、CFが双翅目の進化で比較的最近に獲得された形質であることを示唆します。
図2 双翅目の系統とCF形成の関係
双翅目の系統関係を示した系統樹。ショウジョウバエを含む単系統群(一つの共通祖先から分岐した子孫種のみで構成される分類群)の環縫群(Cyclorrhapha)はCFを形成し、それ以外のグループ(非環縫群)はCFを形成しない。黄色星印はCFを示す。スケールバーは25マイクロメートル(µm、1µmは100万分の1メートル)。ただし、Hermetia illucensのスケールバーは50µm。
前述のようにCFは発生過程で一時的に形成される構造であり、直接体内の組織や臓器を生み出しません。そこで、CFの形成そのものを阻害したときに形態形成にどのような影響があるかを調べました。ショウジョウバエのCFの形成に関わる遺伝子の発現阻害や、細胞が陥入するときに必要な細胞骨格[7]の働きを止める操作を行ったところ、CFは形成されませんでしたが、頭部・胴部の境界付近の上皮が内部に落ち込み、平面構造が崩れてしまう現象が見られました(図3上)。観察された構造は通常のCFとは異なっており、国際共同研究グループはこれを「頭部―胴部たわみ(head-trunk buckling)」と名付けました。頭部―胴部たわみを生じた胚はその後の発生が正常に進まず、頭部や中枢神経に異常が生じました(図3下)。このことから、CFの形成は正常発生に必須であることが示されました。
図3 CF形成の阻害で生じた形態異常
- 上)CFが形成される原腸形成開始時と11.6分後の胚について、左側面から観察した像と上皮の断面像を上下に並べた図。正常胚の黄色矢印はCFを示す。スケールバーは30µm。CF形成に関わる遺伝子を破壊した胚(eve1KO)ではCFが形成されず、頭部-胴部たわみ(マゼンタ矢印)で生じた胚表面の異常なへこみ(*)が観察された。
- 下)発生後期での頭部(矢印)と腹部神経節(破線で囲んだ領域)の形態比較。正常胚は原腸形成開始から8.37時間後(左上)と14.37時間後(左下)、CF形成阻害胚は同8.42時間後(右上)と14.42時間後(右下)を示した。
原腸形成期では頭部と胴部が伸長するのに伴い、その境界付近で頭部の上皮は後方に、胴部の上皮は前方に動きます。CFはこの相反する動きをする二つの上皮を胚内部に流し込んで力学的ストレスを緩和しており、その形成が阻害されたために組織同士が衝突してできたのが頭部―胴部たわみであると考えられます(図3)。これはちょうど、地球表面のプレート境界で山脈や海溝が形成されるように、胚を覆う上皮の「組織プレート」境界で生じた「組織テクトニック衝突[8]」といえるものです。
CFはショウジョウバエを含む系統で保存された構造であり(図2)、CFを形成しない種は、頭部―胴部境界で「組織テクトニック衝突」が起こらないように別の仕組みを持っている可能性があります。そこで、CFを形成しない双翅目であるユスリカの一種ドブユスリカ(Chironomus riparius)の胚発生を調べたところ、頭部の伸長時に見られる細胞分裂の方向がショウジョウバエと異なっていることを発見しました。ショウジョウバエでは、頭部の細胞は水平方向に分裂し、二つの娘細胞は同一平面上に残ります。一方、ドブユスリカの細胞分裂では、娘細胞の一つが平面から離れて内部に位置するように分裂する様子が観察されました(図4)。これは、細胞分裂に伴う頭部上皮の表面積の拡大を緩和し、胴部への力学的なストレスを和らげる効果があることを示唆します。この仮説を検証するため、ショウジョウバエに遺伝子操作を行い、細胞の分裂方向を変えてドブユスリカのような頭部伸長の状態を再現しました。このショウジョウバエでCFの形成を阻害したところ、約半分の個体で頭部-胴部たわみが見られなくなりました。この結果から、ショウジョウバエにおいても細胞分裂の方向を制御すれば、CFがなくても組織テクトニック衝突を抑制できることが分かりました。
以上の結果をまとめると、発生過程で生じる力学的なストレスを適切に制御して正常な形態形成を進めるため、双翅目昆虫は、CFという一過的な構造を形成するか、細胞分裂の方向を制御するかのどちらかの仕組みを進化させたことが示唆されました(図4)。
図4 双翅目昆虫胚が「組織テクトニック衝突」を防ぐ二つの仕組み
CFを形成するショウジョウバエ(上)と、CFを形成しないドブユスリカ(下)の比較。ショウジョウバエ胚の上皮は1層の細胞から成り、頭部の細胞分裂に伴う上皮の伸長がCFで吸収される。一方ドブユスリカでは、細胞層が一部で2層になっている。これは、細胞分裂の方向に二つのパターンがあり、娘細胞の片方が内部に位置するためで、これにより上皮の水平方向の伸長が緩和される。これら二つの仕組みはいずれも、頭部―胴部境界で「組織テクトニック衝突」を起こさないために進化したと考えられる。写真は胚前側の水平断面像を示し、D. melanogasterのスケールバーは50µm、C. ripariusのスケールバーは50µm。
今後の期待
進化理論の一つである自然選択説では、環境の変化に適応できる特徴を持った個体がより多くの子孫を産むことで、新しい種が誕生すると考えます。本研究は、一見何の問題もなく進むように見える発生過程の中にも、正常な形態形成を阻害しかねないリスクが潜んでいることを浮かび上がらせました。環境(外的)要因とともに、このような内的要因も進化の方向性に影響を与えている可能性があります。胚体内で生じる力学的ストレスを制御する仕組みの獲得は、双翅目昆虫だけではなく、ヒトを含む動物の進化で共通する生命現象かもしれません。
なお本研究は、共著者であるシュテファン・レムケ教授(ハイデルベルク大学/ホーエンハイム大学)らとの共同研究に加えて、マックス・プランク分子細胞生物学・遺伝学研究所のパヴェル・トマンツァク(Pavel Tomancak)グループリーダーの研究グループとも連携して行われました。トマンツァクグループリーダーらは、CFの進化をもたらした遺伝子の発現変化を突き止め、CFが胚発生中の適切な時期と場所につくられる仕組みについて理論的な解析を行い、その成果は本研究の発表論文と同じ号のNature誌に掲載されました注)。
- 注)Vellutini, B.C., Cuenca, M.B., Krishna, A. et al. Patterned invagination prevents mechanical instability during gastrulation. Nature (2025). 10.1038/s41586-025-09480-3.
補足説明
- 1.力学的ストレス
生物学において「力学的ストレス(機械的ストレス)」とは、細胞や組織に加わる物理的な力や圧力を指す。例えば、引っ張られること、押しつぶされること、曲げられることなどが細胞のふるまいや組織の成り立ちに影響する。ヒトの筋肉が運動でストレスを感じるのと同じように、細胞や組織も周囲からの力によってストレスを受ける。 - 2.双翅目(そうしもく)、ショウジョウバエ
双翅目は別名ハエ目と呼ばれ、ハエやアブ、蚊やユスリカなどを含む昆虫のグループ。胸部体節の4枚の翅(はね)のうち、後ろ翅が退化し、見かけ上2枚翅のように見えることからこの名が付けられた。ショウジョウバエは遺伝学の発達した実験動物で、その胚は透明で動かないため顕微鏡観察に向いている。受精卵から幼虫になるまで約1日かかり、胚の長さ約0.5mm。 - 3.上皮
細胞が隙間なく敷き詰められシート状になったもの。体表や管腔(かんくう)の表面を覆って、さまざまな生理的機能を果たす組織として機能する。 - 4.セファリック・ファロウ(Cephalic furrow、CF)
ショウジョウバエなど双翅目昆虫の一部に見られる、原腸形成([5]参照)期に上皮の一部が1本の筋状に陥入してつくられる溝で、頭部と胴部の境界に位置する。 - 5.原腸形成、胚葉
原腸形成は体の形づくりの最初に起こる極めて重要な形態形成運動であり、動物種を越えて保存されている。具体的には外胚葉、中胚葉、内胚葉という生物の体づくりの基本となるべき胚葉を形成する現象。 - 6.単系統群
複数種の系統関係に着目した際、共通祖先とその子孫種全てを含むグループを単系統群と呼ぶ。単系統群はしばしば従来の分類体系と一致しない場合があり、例えばコイ、肺魚、ヒトを比べたとき、コイと肺魚をまとめてヒトを除外した「魚類」は単系統群ではないが、肺魚とヒトは単系統群である(子孫種にコイを含まない肺魚とヒトの共通祖先が存在するため)。 - 7.細胞骨格
細胞質内に張り巡らされたタンパク質繊維のネットワークで、細胞を内部から支える分子。さまざまなパターンのネットワークを形成することで細胞の形の維持や変形、細胞運動、細胞分裂、細胞内輸送など多くの動的なプロセスに関わっている。 - 8.組織テクトニック衝突
本文で記載したように、地球表面の複数プレートの運動によりその境界で山脈や海溝が形成されるとする「プレートテクトニクス」理論になぞらえ、胚を覆う上皮の「組織プレート」同士の衝突を本研究では「組織テクトニック衝突(tissue tectonic collision)」と名付けた。
国際共同研究グループ
理化学研究所 生命機能科学研究センター 上皮形態形成研究チーム
チームディレクター ヨウチュン・ワン(Yu-Chiun Wang)
特別研究員 ビパシャ・デイ(Bipasha Dey)
テクニカルスタッフⅠ 武田 美智子(タケダ・ミチコ)
ホーエンハイム大学(ドイツ)Institute of Biology, Department of Zoology
教授 シュテフェン・レムケ(Steffen Lemke)
大学院生(博士課程)ヴェレーナ・カウル(Verena Kaul)
博士研究員 ギリッシュ・カレ(Girish Kale)
(研究初期の所属はいずれも、ハイデルベルク大学(ドイツ) Centre for Organismal Studies Heidelberg)
ハイデルベルク大学(ドイツ)Centre for Organismal Studies Heidelberg
大学院生(修士課程)マイリー・スコルチェレッティ(Maily Scorcelletti)
研究支援
本研究は、理化学研究所運営費交付金(生命機能科学研究)で実施し、日本学術振興会(JSPS)科学研究費助成事業学術変革領域研究(A)「メカノ-ゲノムクロストークが制御する上皮組織の自律的秩序化(研究代表者:近藤武史)」、ヒューマン・フロンティア・サイエンス・プログラム(HFSP)若手研究者グラント、ドイツ研究振興協会による助成を受けて行われました。
原論文情報
- Bipasha Dey*, Verena Kaul*, Girish Kale*, Maily Scorcelletti, Michiko Takeda, Yu-Chiun Wang+ & Steffen Lemke+(*共同筆頭著者、+共同責任著者), "Divergent evolutionary strategies pre-empt tissue collision in gastrulation", Nature, 10.1038/s41586-025-09447-4
発表者
理化学研究所
生命機能科学研究センター 上皮形態形成研究チーム
チームディレクター ヨウチュン・ワン(Yu-Chiun Wang)
特別研究員 ビパシャ・デイ(Bipasha Dey)
テクニカルスタッフⅠ 武田 美智子(タケダ・ミチコ)
ヨウチュン・ワン
ビパシャ・デイ
発表者のコメント
The cephalic furrow is such an iconic tissue structure that it forms and disappears - without leaving a trace and an apparent function - and has fascinated generations of fly embryologists for more than half a century. It is really gratifying that with the exquisite tools that we now have, and the cross-disciplinary collaboration that is the foundation of this study, that we could resolve the mystery surrounding the cephalic furrow and reveal the role of mechanical conflict in shaping animal evolution.(Yu-Chiun Wang)
セファリック・ファロウ(Cephalic furrow、CF)は発生過程での明確な機能が不明で、胚の中に現れて痕跡を残さずに消えていく代表的な組織として、半世紀以上にわたりハエを研究する発生学者たちを魅了してきました。洗練された技術の登場と、本研究の基盤となった国際的・学際的な共同研究により、CFにまつわる謎を解き明かし、形態形成に見られる組織同士の対立的な動きが動物の進化にどのような影響をもたらしているのかを明らかにできたことに、とても満足しています。(ヨウチュン・ワン、山岸 敦訳)
報道担当
理化学研究所 広報部 報道担当
お問い合わせフォーム
