Oct. 17, 2025 Press Release Biology
Deep sleep supports memory via brain fluid and neural rhythms
Researchers led by Masako Tamaki at the RIKEN Center for Brain Science in Japan report a link between deep sleep and cerebrospinal fluid, the clear liquid that surrounds and supports the brain and spinal cord. Recently published in Proceedings of the National Academy of Sciences of the United States of America, the study demonstrates how changes in cerebrospinal fluid signals during sleep—as measured by MRI—are time-locked to slow brain waves and other neural events. These findings offer a clue as to why stable sleep is important for normal brain function, particularly within the brain network that controls learning and memory.
Why do we sleep? Scientists think that sleep is important for consolidating memories and removing waste from the brain that accumulates as a result of brain activity while we are awake. Sleep is thought to control the flow of cerebrospinal fluid and might therefore be important for clearing this waste. But precisely how remains a mystery, especially considering that sleep has several different stages, including light sleep, REM sleep, and deep non-REM sleep.
Understanding the role of deep sleep in controlling cerebrospinal fluid dynamics has been challenging, partly because the usual method for observing the signals coming from the fluid–a functional MRI scan–is extremely loud. This makes it difficult for people to reach deep sleep and remain in that stage long enough time to collect meaningful data. To overcome this problem, Tamaki and her team used sparse functional MRI, which does not operate continuously. Instead, scans are done approximately every 3 seconds, and the silences between scans allow people to reach deep sleep. While people slept in the MRI scanner, their brain waves were also recorded because slow waves are thought to be important for controlling cerebrospinal fluid.
The researchers found clear differences in how fMRI signals from fluid-filled regions of the brain changed during different sleep stages. Slow brain waves and other events during deep non-REM sleep triggered frequent medium-sized signal increases within 8 seconds. During light sleep and arousal, the pattern was quite different, with slow waves triggering a sharp increase in the signal, which was slower and less frequent. REM sleep also affected the signal, but the changes took almost 30 seconds and were very small.
Sleep stages were also associated with activity in different brain networks. Compared to light sleep, learning and memory-related brain regions such as the hippocampus and frontal cortex were preferentially active during slow-wave sleep. Considering both results, when the memory network is active during deep sleep, the slow brain waves have a specific effect on the cerebrospinal fluid signal that does not occur during other sleep stages when different brain regions are more active.
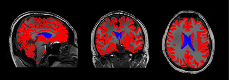
The exact meaning of the fMRI signal coming from the brain—specifically the lateral ventricles—remains a mystery for future studies. fMRI signals depend on the magnetic properties of hemoglobin in the blood, but there is none in cerebrospinal fluid. The signal could be related to a combination of processes associated with brain activity and waste removal.
“Our findings indicate that deep sleep affects cerebrospinal fluid signals differently than do light sleep, REM sleep, or arousal,” says Tamaki. “The rapid, yet moderate increases in the signal might relate to a process that is necessary for removing the particular kinds of waste that tend to accumulate within the learning and memory brain network during the day.”
Rate this article
Reference
Contact
Masako Tamaki, RIKEN Hakubi Team Leader
Cognitive Somnology RIKEN Hakubi Research Team
RIKEN Center for Brain Science
Adam Phillips
RIKEN Communications Division
Email: adam.phillips@riken.jp

MRI image of the brain with the lateral ventricles colored in blue. The ventricles are filled with cerebrospinal fluid.

Brain regions recruited during different stages of sleep. Slow-wave sleep induces activity in brain regions involved in learning and memory circuits.
